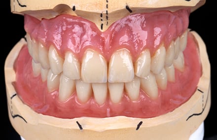
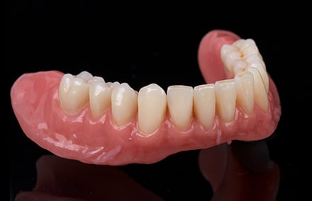
Praxisbeispiele, die überzeugen – VITA PHYSIODENS im Einsatz
Unsere Patientenfälle zeigen den erfolgreichen Einsatz in der Totalprothetik, Teilprothetik und Implantatprothetik – mit Fokus auf Ästhetik, Funktion und Patientenzufriedenheit. Von komplexen Versorgungen bis hin zu ästhetisch anspruchsvollen Lösungen – lassen Sie sich von Fallberichten ihrer Kollegen inspirieren.
-
Fallberichte im Überblick
- Der geriatrische Patient: Individuelle Totalprothetik als indikationsgerechte konventionelle Versorgungslösung
- Implantatprothetik nach dem Bio-Logischen Konzept (BLP)
- Natürlich schön! Konfektion trifft auf Individualität - Moderne Konfektionszähne als optimales Pendant zur Natur
- Glanzlicht der individuellen Totalprothetik

Dr. Sanja Štefančić, MSc, PhD, Zagreb, Kroatien

Samir Berisalić, Zahntechniker, Celje, Slowenien
In diesem Fallbericht wird die Anfertigung einer Totalprothese bei einer 93-jährigen gehörlosen Patientin beschrieben. Aufgrund der ausgeprägten Atrophie des Kieferknochens und der fehlenden verbalen Kommunikation fiel die Entscheidung gegen eine festsitzende Neuversorgung, um die Anzahl der Behandlungssitzungen und den Behandlungsaufwand konsequent für die geriatrische Patientin zu minimieren. Die Wahl fiel auf einen klassisch-konventionellen totalprothetischen Workflow mit mukodynamischer Abformung und funktioneller Randgestaltung. Die Kommunikation mit der Patientin erfolgte über nonverbale Techniken. Der Fall unterstreicht die Bedeutung einer einfühlsamen Behandlung, die auf geriatrische Patienten mit komplexen funktionellen und kommunikativen Einschränkungen angepasst werden muss.
Einleitung
Konventionelle Totalprothetik ist eben nicht nur Zähne irgendwie in Wachs aufzustellen. Vielmehr ist die Einhaltung eines komplexen Regelwerks nötig, um zu verstehen, welcher Zahn an welcher Stelle und in welcher Position seinen Platz hat. Wer die Totalprothetik verstanden hat, hat deswegen ein universelles Wissen über das stomatognathe System. Denn alle intraoralen Orientierungspunkte und die Kieferrelation sind bei zahnlosen Patienten über die Zeit verloren gegangen, sodass diese im Abgleich und im Zusammenspiel mit der extraoralen Anatomie erst wieder gefunden und richtig analysiert werden müssen. Neben den theoretischen Grundlagen ist außerdem Anwendungs- und Behandlungserfahrung nötig, um aus der Zusammenarbeit zwischen Patient, Zahnarzt und Zahntechniker eine individuelle, patientengerechte Totalprothetik entstehen zu lassen, mit der alle Beteiligten am Ende ästhetisch und funktionell zufrieden sind. Den folgenden Fall machten geriatrische Begleiterscheinungen und anatomische Defizite zu einer besonderen Herausforderung.
Geriatrische Herausforderungen
Gerade bei Patienten im fortgeschrittenen Alter mit multiplen Einschränkungen – wie Kommunikationsbarrieren durch Gehörlosigkeit – stellt jeder zusätzliche Zahnarzttermin eine emotionale, physische und organisatorische Belastung dar. In solchen Fällen kann die konventionelle Totalprothetik immer noch das Mittel der Wahl sein, um exzessive chirurgische Eingriffe für eine festsitzende Versorgung und zahlreiche anstrengende Behandlungssitzungen zu vermeiden. Grundvoraussetzung ist, dass die Behandlung mit taktilem Feingefühl, Geduld und einer gezielt angepassten Kommunikation durchgeführt wird. Bei starker Atrophie von Ober- und Unterkiefer bei älteren Patienten können auch Stabilität und Retention der Prothesen eine Herausforderung sein. Im Folgenden zeigen die
Zahnärztin Dr. Sanja Štefančić (Marisadent, Zagreb, Kroatien) und der Zahntechniker Samir Berisalić (Interdent, Celje, Slowenien), wie sich solch ein totalprothetischer Fall mit Know-how, einfühlsamem Teamwork und den individuell geschichteten Premium- Prothesenzähnen VITA PHYSIODENS meistern ließ.
Der Patientenfall
Eine 93-jährige gehörlose Patientin mit stark atrophierten Kiefern wurde in der Praxis vorstellig, weil sie mit ihrer aktuellen totalprothetischen Versorgung ästhetisch und funktionell unzufrieden war. Sie fühlte sich aufgrund des eingeschränkten Halts unsicher und empfand die optische Prothesenwirkung als zu künstlich. Die Prothesenzähne zeigten deutliche Abrasionen und fast kein okklusales Relief mehr, was die Kauleistung reduzierte. Eine Neuversorgung war durch die kompromittierten Kieferkämme und die fehlende verbale Kommunikation generell erschwert. Eine festsitzende Versorgung mit hohem chirurgischem und zeitlichem Aufwand wurde deswegen und aufgrund des fortgeschrittenen Alters ausgeschlossen. Stattdessen wurde auf das für die Patientin bereits grundlegend bekannte klassisch-konventionelle Verfahren zur Prothesenherstellung gesetzt, wobei individuell auf die Bedürfnisse der Patientin eingegangen werden sollte. Ein besonderer Fokus wurde von Anfang an auf die nonverbale Kommunikation, eine transparente Behandlungsführung und gleichzeitig auf eine Minimierung der Behandlungssitzungen gelegt.

1. Ausgangssituation mit der alten totalprothetischen Versorgung und stark atrophierten Kieferkämmen.
Kommunikation bei Gehörlosigkeit
Aufgrund der vollständigen Gehörlosigkeit erfolgte die Kommunikation über visuelle Signale, langsame und deutliche Mimik, schriftliche Notizen und einfache Skizzen. Entscheidend war der Aufbau von Vertrauen durch ruhigen Blickkontakt und das vorherige Zeigen jedes einzelnen Behandlungsschritts. Das Praxisteam wurde in grundlegenden nonverbalen Techniken geschult, um der Patientin Sicherheit zu geben und deren aktive Mitarbeit zu ermöglichen.
Ausgeprägte Atrophie
In einem ersten Schritt wurden zweiphasige anatomische Abformungen mit Funktionslöffeln genommen. Die Löffel wurden individualisiert und initial die Funktionsränder gezielt mit rigiderem, thermoplastischem Material (Bite Compound, GC Holding AG, Schweiz, Luzern) abgeformt. Die zweite Abformung erfolgte mit dem fließfähigerem 3M Soft Monophase Polyether Abformmaterial (3M, Seefeld, Deutschland). Die Prothesenbasis wurde dabei bis an die anatomisch vertretbaren Grenzen ausgedehnt. Da sich mit dieser mukodynamischen Abformung der erwünschte Saugeffekt als Grundlage für funktionelle Stabilität erzielen ließ, konnte auf die Herstellung individueller Löffel und eine zweite Abformsitzung verzichtet werden. Im Labor wurden auf dieser Grundlage Meistermodelle hergestellt und mit Hilfe der Altprothesen vorartikuliert, um die Bissschablonen mit patientengerecht ausgerichteten Wachswällen herstellen zu können.

2. Mukodynamische Abformungen wurden zweizeitig mit individualisierten Funktionslöffeln genommen.

3. Die stark abradierten Altprothesen und die hergestellten Bissregistrate auf den Meistermodellen.
Registrierung der Kauebene
In einem ersten Schritt wurde die Bissschablone im Oberkiefer eingegliedert und die Ausrichtung des Wachswalls mit dem Okklusionom überprüft. Dieses sollte parallel zur Bipupillarlinie und zur Camperschen Ebene sein, um die Kauebene parallel dazu entstehen lassen zu können. Das sorgt für eine harmonische anatomiegerechte Positionierung der neuen Totalprothetik. Zur dreidimensionalen Übertragung in den Artikulator wurde der ausgerichtete Wachswall mit einem Gesichtsbogen registriert.

4. Die Neuausrichtung des Wachswalls nach der Bipupillarlinie und die Altprothesen im Vergleich.

5. Die Kauebene wurde mit dem Okklusionom überprüft und mit dem Gesichtsbogen registriert.
Kieferrelationsbestimmung
Anschließend wurde die zentrische Kieferrelation in mehreren Schritten registriert. Dafür wurden vier kreisförmige Vertiefungen im Seitenzahnbereich und eine v-förmige Rille in regio 23 zur Retention des Verschlüsselungsmaterials in den Oberkieferwachswall eingearbeitet. Zuerst wurde mit einem Aluwachsstop ausschließlich punktförmig in regio 23 registriert und die Repositionierbarkeit des Ergebnisses mehrmals überprüft. Es folgte ebenfalls mit Aluwachs die Registrierung im Seitenzahnbereich, wobei die Repositionierbarkeit erneut mehrmals überprüft wurde. Die Verschlüsselung erfolgte mit feinem temporärem Zement. Die Mittellinie und die Position der Pupillen wurden abschließend lotrecht in den Wachswall eingeritzt, um die korrekte Positionierung der mittleren Frontzähne und der Eckzähne zu markieren. Die Meistermodelle wurden entsprechend artikuliert und die Modellanalyse mit Hilfe der Markierungen durchgeführt.

6. Die Zentrikfindung und Verschlüsselung der Wachswälle bei der Kieferrelationsbestimmung.

7. Die Registrierung der Kieferrelation erfolgte mehrzeitig mit Aluwachs und provisorischem Zement.

8. Das Unterkiefer-Meistermodell nach der Modellanalyse.

9. Das Oberkiefer-Meistermodell nach der Modellanalyse.

10. Die Meistermodelle wurden gemäß der Registrierten Kieferrelation artikuliert.

11. Die Platzverhältnisse in Artikulation in der lingualen Ansicht

12. In Kieferrelation artikulierte Meistermodelle in lateraler Ansicht.
Der Natur auf der Spur
Dr. Eugen End beobachtete und dokumentierte schon früh als Zahnmedizinstudent naturgesunde Gebisse und entdeckte im Rahmen seiner Forschungstätigkeit immer wieder eine ähnliche Kontaktpunktverteilung. Die Unversehrtheit natürlicher Gebisse ließ ihn darauf schließen, dass das physiologische Kauorgan von Natur aus so angelegt ist, dass die entsprechenden Zahnmorphologien in ihrer Grundgestalt erhalten bleiben und nicht zerstört werden. Statische Kontakte treten nach der „BIO-Logische Prothetik“ (BLP) nur in Zentrik auf, der einzigen physiologischen Kontaktposition. Die Schlussbissstellung in physiologischer Zentrik ist die entspannte, lockere, neuromuskulär eingenommene Kontaktposition des Unterkiefers mit dem Oberkiefer, die aus der Ruhelage des Unterkiefers heraus vom Patienten selbst, mühelos, ohne externe Manipulation immer wieder eingenommen werden kann. Der Unterkiefer wird dabei in einer reproduzierbaren, immer wiederkehrenden Präzision in einen zentrischen Funktionsraum von ca. einem Millimeter gebracht. Die Arbeitshöcker des Unterkiefers werden dabei gegen die Arbeitshöcker des Oberkiefers geführt. Alle anderen zahngeführten Bewegungen des Unterkiefers sind nach BLP unphysiologisch. Die Gemeinsamkeiten in der okklusalen Zahnmorphologie führten schnell zu dem Wunsch künstliche Zähne nach natürlichem Vorbild herzustellen. Denn zu dieser Zeit gab es nur künstliche Zähne ohne die Imitation des natürlichen Vorbilds. Modellationen nach dem biologischen Bauplan führten zu den ersten Prototypen, aus denen später die vollanatomischen VITA PHYSIODENS Zähne entstanden, die 1995 eingeführt wurden und im Folgenden verwendet werden.1
BIO-logische Zahnauswahl
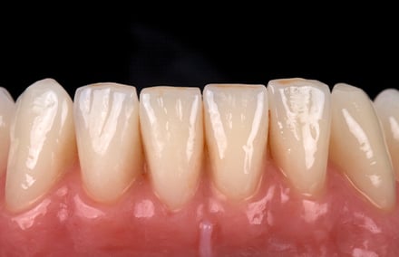
Die richtige Auswahl der Oberkieferfrontzähne für die bestehenden vertikalen und horizontalen Platzverhältnissen, passend zur Kopfform und dem Geschmack der Patientin in Form und Farbe ist ein entscheidender Schritt für die Patientenakzeptanz. In diesem Fall fiel die Entscheidung auf den VITA PHYSIODENS, der mit 21 Formen in 28 VITA SYSTEM 3D-MASTER und 16 VITA classical A1-D4 Farben eine breite Auswahl bietet. Der Prothesenzahn wird mit Schmelz-, Dentin- und Halsmasse dreidimensional in Handarbeit geschichtet. Jeder Zahn ist also ein echtes Unikat, was eine natürliche und individuelle Wirkung der totalprothetischen Versorgung gewährleistet. Die hochvernetzte VITA MRP (Microfiller Reinforced Polymermatrix) Kompositrezeptur lässt im klinischen Verlauf zusätzlich ein Höchstmaß an Abrasionsbeständigkeit erwarten.2 In diesem Fall fiel die Entscheidung auf den dreiecksförmigen VITA PHYSIODENS Anterior T1S in der Farbe D2. In der Unterkieferfront kam der schmalere VITA PHYSIODENS Anterior L2M zum Einsatz. Für den Seitenzahnbereich wurde aufgrund der analysierten Platzverhältnisse der VITA PHYSIODENS Posterior 21E ausgewählt.
Aufstellung im Frontzahnbereich
Für die Frontzahnaufstellung im Oberkiefer wurde im Unterkiefer ein Silikonschlüssel mit Mittellinien- und Eckzahnmarkierung angefertigt, um die vertikale und horizontale Dimensionierung jederzeit kontrollieren zu können. Da der VITA PHYSIODENS Anterior auf der Morphologie natürlicher naturgesunder Gebisse basiert, ging die Aufstellung im Oberkiefer intuitiv von der Hand. Die Frontzähne im Unterkiefer wurden mit ihrer Inzisalkante parallel zu den Schneidekanten der oberen Frontzähne aufgestellt. Da schon der obere Wachswall parallel zur Bipupillarebene ausgerichtet worden war, standen nun die Frontzähne automatisch auch parallel zu dieser. An den Schneidekanten der Unterkieferfront wurden mit rotierenden Instrumenten leichte Abrasionen eingearbeitet.

13. Zur Orientierung bei der Aufstellung der ästhetischen Zone wurde ein Silikonschlüssel hergestellt.

14. Für die Aufstellung wurde der Wachswall im Oberkiefer situationsgerecht reduziert.

15. Die aufgestellte ästhetische Zone mit dem dreiecksfömigen VITA PHYSIODENS T1S in der Farbe D2.

16. Die Situation im Unterkiefer vor der Aufstellung in Wachs.

17. Die Aufstellung im Unterkiefer wurde für ein individuelles Ergebnis leicht verspielt durchgeführt.

18. Die aufgestellten Fronten wirkte mit dem individuellen VITA PHYSIODENS absolut natürlich.

19. Die interinzisale Aufstellung in der Ansicht von lateral.

20. Die Wachsaufstellung der Frontzähne in der lingualen Ansicht.
Aufstellung im Seitenzahnbereich
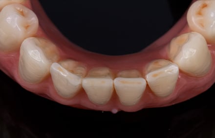
Bei der Aufstellung der Seitenzähne im Unterkiefer wurde darauf geachtet, dass nur die Frontzähne im Unterkiefer und die disto-bukkalen Höcker der zweiten Molaren die Okklusionsebene berühren. Die Okklusionsebene muss wiederum parallel zur Camperschen Ebene und parallel zur Bipupillarebene sein. Die fertige Aufstellung im Unterkiefer wurde mit dem Okklusionsebenenzeiger überprüft und dann erst die Seitenzähne im Oberkiefer aufgestellt. Die oberen Seitenzähne wurden zu der Unterkieferaufstellung nach BLP so in Kontakt gebracht, dass pro Quadrant circa 10 Kontaktpunkte entstanden. Kontakte auf den inneren Abhängen der Arbeitshöcker wurden dabei priorisiert. Typisch für die physiologische Okklusion ist, dass die Prämolaren 1 oder 2 Kontakte, die Molaren 4 oder 5 Kontakte und die zweiten Molaren 2 bis 3 Kontakte haben. Auf den Scherhöckern und Randwülsten entstanden nur wenige Kontakte. Die unteren Seitenzähne wurden nach lingual gekippt, die oberen nach bukkal. So waren die wertvollen Arbeitskontakte schnell realisiert, wobei nur durch leichtes Einschleifen optimiert werden musste. Die Einprobe in Wachs war erfolgreich, sodass die Aufstellung in Kunststoff umgesetzt wurde.

21. Kontrolle von Eckzahnspitze und Fissurenverlauf mit einem gespannten Gummi.

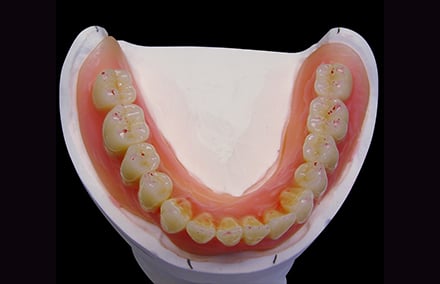
22. Die vervollständigte Aufstellung des Unterkiefers in der okklusalen Ansicht.

23. Die geringen Platzverhältnisse im ersten Quadranten vor der Aufstellung.
Charakterisierung mit Malfarben
Nach der Umsetzung in Kunststoff wurde die Basis ausgearbeitet. Die Zähne wurden zervikal, interdental und die zentralen Schneiden im Oberkiefer auf Wunsch der Patientin mit den lichthärtenden Kompositmalfarben VITA AKZENT LC EFFECT STAINS cream, khaki, blue, grey-blue and purple altersgerecht charakterisiert. Die mukogingivale Anatomie entstand auf dem Lippenschild mit VITA AKZENT LC EFFECT STAINS purple, pink, dark-red, orange and cream. Abschließend wurden die charakterisierten Bereiche mit VITA AKZENT LC GLAZE versiegelt und damit gleichzeitig ein einheitlicher Glanzgrad etabliert (alles VITA Zahnfabrik, Bad Säckingen, Deutschland).
Eingliederung und Fazit
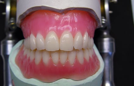
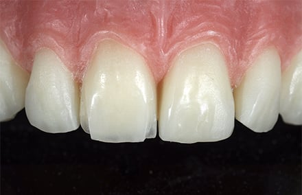
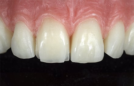
Bei der Eingliederung zeigte sich nach kurzer Zeit ein ausgeprägter Saugeffekt im Ober- und Unterkiefer, sodass die Prothesen funktionell sicher gelagert waren. Da die mukodynamischen Abformungen mit individualisierten Funktionslöffeln genommen worden waren, hatte sich die Behandlung um eine Sitzung reduzieren lassen, ohne bei der Retention der Versorgungen Abstriche zu machen. Dies gab wiederum den zeitlichen Raum, um einfühlsam mit einer angepassten Kommunikation durch die übrigen Behandlungssitzungen zu führen. Der manuell und anatomisch geschichtete VITA PHYSIODENS sorgte grundsätzlich für die gewünschte Individualität und Natürlichkeit. Durch die Charakterisierungen mit Kompositmalfarben konnte nicht nur eine passende Gingivaanatomie reproduziert werden, sondern auch die Zähne für die 93-jährige Patientin altersgerecht gestaltet werden. Die Patientin freute sich sichtlich über ihr neues Lächeln und zeigte sich auch in den Nachsorgesitzungen mit der Funktion und ihrem neuen Aussehen absolut zufrieden. Der Fall zeigt, dass eine totalprothetische Rehabilitation in vielen geriatrischen Fällen immer noch die richtige Wahl ist.

24. Die altersgerecht wirkende totalprothetische Reha.

25. Der Schneidekantenverlauf harmonierte mit dem Verlauf der Unterlippe.

26. Das neue Lachen mit dem VITA PHYSIODENS wirkte absolut natürlich.

27. Die zufriedene geriatrische Patientin.
1Die physiologische Okklusion des menschlichen Gebisses, Dr. Eugen End, Verlag Neuer Merkur, 2005/DVD „BIO-Logical Prosthetics“, Dr. Eugen End, VITA Zahnfabrik, 2009.
2 Pin-on-Block (POB)-Verschleißtest an der Poliklinik für Zahnärztliche Prothetik der Universität Regensburg; Report Number: 280_2/Project Number: 280. 09.11.2015.

"Form, Farbe und Stellung der Frontzähne sind mit entscheidend für eine erfolgreiche Restauration. Für eine ästhetische Rehabilitation mit naturgetreuem Farb- und Lichtspiel wurde deswegen die VITA PHYSIODENS Zahnlinie ausgewählt, die dem Prinzip der Bio-Logischen Prothetik gerecht wird."
Viktor Fürgut, Zahntechniker, Ravensburg, Deutschland
Auch bei konsequenter Umsetzung scheitern die klassischen Okklusionskonzepte häufig in der Praxis. Denn diese prothetischen Strategien beruhen auch heute noch maßgeblich auf rein mechanischen Parametern. Die geistigen und technischen Erkenntnisse der vorangegangenen Generationen werden immer noch häufig als theoretische Grundlage herangezogen und die scheinbar evidenzbasierten Konzepte klinisch umgesetzt. Das evolutionär über Jahrtausende optimierte Okklusionskonzept der Natur im physiologischen Gebiss folgt allerdings einem ganz anderen Bauplan. Deswegen hat sich Bio-Logische Prothetik (BLP) als physiologisches Okklusionskonzept in allen prothetischen Disziplinen etabliert, denn es folgt konsequent den Merkmalen einer natürlichen Okklusion.
Neuromuskuläre Unterkieferführung
Auch der Implantatprothesenträger zeigt die gleichen stereotypen Kaubewegungen wie jeder vollbezahnte Mensch. Auch er benötigt keine Bibalancierung, keine Unilateralbalancierung und keine Eckzahnführung, sondern sein Unterkiefer wird auch vom Zentralnervensystem kortikal bewusst oder subkortikal unbewusst neuromuskulär geführt. Für eine harmonische Integration einer Implantatprothese in das stomatognathe System benötigt er deswegen künstliche Ersatzzähne, wie er sie in seinem natürlichen Gebiss einmal in Form und Stellung hatte. Und diese ursprünglichen Zähne wiesen sicherlich auch keine maximal tripodisierten Kontakte, keine durchgängigen ABC-Kontakte, keine lingualisierte Okklusion und keine Long Centric auf.
Zentrischer Funktionsraum
Solange sich feste Nahrung zwischen den Zähnen befindet, ist eine Zahnführung schlichtweg nicht möglich. Erst wenn die Nahrung zu einem Bolus zerkaut ist, kann Kontakt auftreten. Dieser Kontakt findet aber nur in einem dreidimensionalen Funktionsraum von ca. 1mm statt, was physiologische Kaukurven zeigen. In diesem zentrischen Funktionsraum sollten auch implantatgetragene Prothesen äquilibriert sein. Das funktioniert nur, wenn die neuen Zähne der Form, der Größe und der Stellung der ursprünglichen Zähne entsprechen. Die Spee- und Wilsonkurve sowie die helicoide Verwindungskurve sind keine Kompensationskurven zur Balancierung von Prothesen. Dieser anatomische Bauplan wurde evolutionär in seiner Funktion optimiert, um ökonomisch mit geringstem Kraftaufwand arbeiten zu können. Die Zahnachsen im Ober- und Unterkiefer stehen dabei in Einklang mit den Kraftvektoren der schließenden Kaumuskulatur. Das Konzept der physiologischen Okklusion ist logisch. Es macht klare Aussagen über die Position des Unterkiefers zum Oberkiefer in anterior-posteriorer, lateraler und vertikaler Lage und über die Bewegungsmuster. Das okklusale Relief der Seitenzähne und die anatomische Form der Frontzähne folgen in ihrer Form dieser Funktion und der zentrischen Lagebeziehung.
Konzept mit Langzeiterfahrung
Das Bio-Logische Konzept nach dem Vorbild der Natur kann auf Grund seiner Reproduzierbarkeit universell und in Kombinationstherapien prothetisch, konservierend und kieferorthopädisch umgesetzt werden. Es ist keine künstlich induzierte Theorie, sondern eine dokumentierte Folgerung aus Beobachtung und Betrachtung natürlicher Gegebenheiten. In 20-jähriger Praxis hat sich das Konzept der Natur in allen prothetischen Disziplinen mit großem Erfolg bewährt. Die positiven Reaktionen der Patienten auf Ästhetik und Kaukomfort sprechen für sich. Alle eingegliederten Prothesen, ob implantatgetragen oder nicht, alle Kombi-Arbeiten in den verschiedensten Ausführungen, wurden von mir ohne Balancierung, ohne Eckzahnführung, ohne Frontzahnführung und ohne Gruppenführung hergestellt. Nicht ein einziger Patient hat diese unphysiologischen Zahnführungsbewegungen bei seinem neuen Zahnersatz vermisst.
Bio-Logische Implantatprothetik
Immer mehr totale Prothesen werden heute implantatgetragen eingegliedert. Ein großer Schritt hin zu mehr Lebensqualität für zahnlose Patienten. Viele Suprakonstruktionen sind möglich, die jeweils sinnvollste Lösung muss individuell auf den Patienten zugeschnitten sein. Alter und motorische Fähigkeiten sind die wesentlichen Kriterien, um dem Patienten langfristig ein problemloses Handling mit dem Zahnersatz zu ermöglichen. Alle Varianten implantatgetragener Restaurationen befreien uns aber nicht davon, die Grundregeln der Totalprothetik in physiologischer Okklusion zu verlassen. Das neuromuskuläre System mit all seinen beteiligten Strukturen verlangt ein biologisches und weniger ein mechanisch-statisches Denken. Und haben die Patienten nicht den Anspruch nach den Gesetzmäßigkeiten der Natur versorgt zu werden? Sind statische, mathematisch-geometrische Konzepte wirklich die bessere Wahl? Dann stellt sich die Frage: Soll der Zahnersatz frontzahngeführt sein oder eckzahngeführt oder beides und ab wann soll die Führung stattfinden? Ist es besser bibalanciert aufzustellen oder unilateral balanciert? Sollen Seitenzähne mit reduzierter Kaufläche verwendet werden? Große oder eher kleine Zähne? Man könnte die Liste der Verwirrungen beliebig fortsetzen! Dem Behandler, dem Zahntechniker und vor allem den Patienten hilft dies alles nicht weiter.
Das Procedere
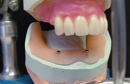
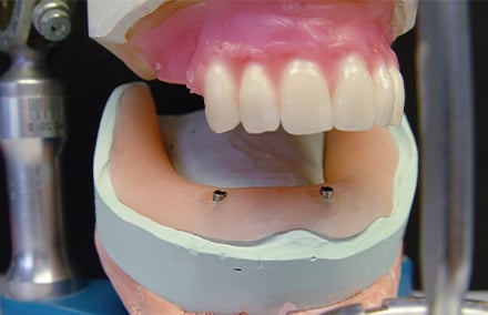
Im folgenden Fall wird eine Patientin im Oberkiefer mit einer Totalprothese (Abb. 1) und im Unterkiefer mit einer implantatgetragenen herausnehmbaren Arbeit nach dem Bio-Logischen Prinzip versorgt. Für die stabile Verankerung der Unterkieferprothetik wurden vier Implantate in regio 32, 33 sowie 42, 43 inseriert (Abb. 2). Das Aussehen, die Ästhetik und die Sprache samt Phonetik sind neben der Kaufunktion das Allerwichtigste für die meisten Patienten. Der Zahntechniker hat im Regelfall keinen Kontakt zum Patienten, daher ist es sehr wichtig, dass der Behandler dem Zahntechniker genaue Informationen hinsichtlich der Zahnstellung gibt. Dreidimensional muss die Information sein. Die inzisale Länge der Frontzähne, die labiale/orale Stellung und die Information über die Parallelität zur Bipupillarebene der gesamten Oberkieferfront muss festgehalten werden. Die Gesichtsmitte, die Lach- und Eckzahnlinie sind ebenfalls essentielle Orientierungspunkte für den Zahntechniker. Die dreidimensionalen Informationen transferiert der Behandler über den Wachswall auf einer Bissschablone oder besser auf dem Löffel der passgenauen Funktionsabformung. Der OK-Wachswall wird im warmen Wasser erwärmt und kann dann in labialer oder oraler Richtung so bewegt werden, bis das Lippenprofil stimmt. Jetzt kann auch schon Aussprache und Phonetik überprüft werden.

1. Der zahnlose Oberkiefer.

2. Zahnloser UK mit 4 Implantaten.
Die Registrierung der Zentrik
Eine perfekte Abformung und eine präzise Modellherstellung der Kiefer (Abb. 3 und 4) sowie eine optimale Bissnahme sind die Grundbedingungen für einen gut funktionierenden Zahnersatz. Bei zahnlosen Kiefern empfiehlt sich auch die Zentriknahme mit Wachswällen auf den individuellen Löffeln. Nach der Funktionsabformung und Meistermodellherstellung sollten extendierter Ränder der Abformung einfach eingekürzt werden, um perfekt sitzende Bissschablonen zu erhalten (Abb. 5 und 6). Diese Methode garantiert eine sehr genaue Übertragung vom Mund auf das Meistermodell oder umgekehrt.

3. Präzises UK-Modell.

4. Präzises OK-Modell.

5. Reduzieren der Ränder.

5. Passgenaue UK-Schablone.
Die Zentrik muss vom Patienten selbst, ohne externe Manipulation des Behandlers aus der Ruhelage heraus immer wieder neuromuskulär bestätigt werden. Abbildung 7 zeigt im OK einen kleinen aufgetropften Aluwachsstop und im UK eine aus dem Wachswall geformte Spitze. Nachdem der Patient beliebig oft die Impression im Aluwachsstop bestätigt (die Wachswälle berühren sich zirkulär nicht), werden die Wälle verschlüsselt (hier mit Zinkoxyd/Eugenol). Der Behandler hat die Kontrolle bei der Verschlüsselung. Die Wachsspitze im UK muss wieder in der Impression des Aluwachsstops liegen (Abb. 8). Die so verschlüsselten und präzise aufliegenden Abformlöffel ermöglichen eine realistische Artikulation der Modelle (Abb. 9 und 10).

7. Bestätigung der Zentrik

8 Kontrollierte Verschlüsselung

9. Registrat beim Einartikulieren …

10. … passgenau auf den Meistermodellen.
Die Zahnaufstellung
Die Aufstellung der Zähne erfolgt nun ungeachtet der Implantate im Unterkiefer. Die Suprakonstruktion auf den Implantaten wird erst nach einer in jeder Hinsicht erfolgreichen Wachsanprobe hergestellt. Die Auswahl der Frontzähne ist ein sehr wichtiger Arbeitsschritt, bei dem der Patient mit einbezogen werden sollte. Form, Farbe und Stellung der Frontzähne sind mit entscheidend für eine erfolgreiche Restauration. Für eine ästhetische Rehabilitation mit naturgetreuem Farb- und Lichtspiel wurde deswegen die VITA PHYSIODENS Zahnlinie (VITA Zahnfabrik, Bad Säckingen, Deutschland) ausgewählt, die dem Prinzip der Bio-Logischen Prothetik gerecht wird. Der individuelle Schneidekantenverlauf, die natürliche Oberflächengestaltung und das Volumen der VITA PHYSIODENS Anteriores garantieren bei einer guten Zahnfleischmodellation ein Optimum an Natürlichkeit. Im Seitenzahnbereich wurden entsprechend die vollanatomischen VITA PHYSIODENS Posteriores eingesetzt. Ob schleimhautgetragen oder implantatgetragen macht keinen Unterschied. Es kommt darauf an, die Kaukräfte zu optimieren und zu reduzieren. Das erreicht man am besten mit dem VITA PHYSIODENS Seitenzahn, der sich nach den Gesetzmäßigkeiten des natürlichen Gebisses in Zentrik aufstellen lässt. Diese physiologische Okklusion reduziert die Kaukräfte auf ein Minimum. Voraussetzung dafür ist die biologische Morphologie der Kauflächen aus der sich eine optimale Kontaktpunktverteilung wie im natürlichen Gebiss ergibt.
Grundsätze aus dem Lehrbuch der Natur
Bei der Beobachtung naturgesunder bleibender Gebisse konnte eine immer wiederkehrende okklusale Kontaktpunktverteilung festgestellt werden. Auf dieser naturgegebenen Vorgabe beruht die Bio-Logische Prothetik mit VITA PHYSIODENS. Die Gesetzmäßigkeiten werden auch bei der Aufstellung in diesem klinischen Fall beherzigt. So wird der Patientin eine komfortable, physiologische Kaufunktion ermöglicht, die neuromuskulär geführt wird und nicht dental:
-
Gleichmäßige und gleichzeitige Punktkontakte im Seitenzahnbereich in einer typischen Verteilung mit individueller Variationsbreite. Die Prämolaren haben 1-3 Kontakte, der erste Molar 3-5 Kontakte und der zweite Molar 2-3 Kontakte.
-
Im Durchschnitt findet man 20 Kontaktpunkte pro Kiefer im Seitenzahnbereich, also 10 in einem Quadranten mit einer Bandbreite von 6 bis 14 Punkten.
-
Die Kontaktpunkte befinden sich im OK vorwiegend auf den inneren Abhängen der palatinalen Höcker und im UK auf den inneren Abhängen der bukkalen Höcker auf unterschiedlicher Höhe.
-
Es finden sich im UK wenige Randwulstkontakte, im OK überwiegend auf den Prämolaren.
-
Auf den inneren Abhängen der Scherhöcker findet man weniger Kontakte.
-
Die Frontzähne können alle oder auch nur teilweise Kontakt haben – gleichzeitig und gleichmäßig mit den Seitenzähnen. Der Kontakt in der Front ist eher ein leichter Berührungskontakt.





Die Abbildungen 11 bis 13 zeigen die sichere dreidimensionale Aufstellung der OK-Frontzähne dank Unterkieferschlüssel aus Silikon. Der am Patienten ausgeformte Wachswall und die Frontzahnaufstellung stimmen überein. Die Front- und Seitenzähne des Unterkiefers werden anschließend auf einer Aufstellbasis aus Kunststoff, mit Fixierungen an mindestens zwei Modellanalogen (Abb. 14 und 15) aufgestellt. Bei der Aufstellung der Unterkieferfront soll eine inzisale Parallelität zu den Schneidekanten der oberen Frontzähne entstehen (Abb. 16). Bei geschlossenem Artikulator ist ein Überbiss von 2 bis 4 mm anzustreben (Abb. 17). Ein Frontzahnkontakt sollte eher vermieden werden, um dem Behandler bei der Eingliederung das finale Einschleifen zu ermöglichen, ohne dass an den Frontzähnen geschliffen werden muss.

16. OK/UK sind inzisal parallel.

17. Überbiss von 2-4 mm.
Die Seitenzahnaufstellung
Bei der Aufstellung der Seitenzähne wird darauf geachtet, dass die Zähne mit der Zahnachse in Richtung der schließenden Muskulatur stehen (Abb. 18). Die Okklusionsebene sollte parallel zur Camperschen Ebene sein. Die Höhe der Okklusionsebene ergibt sich aus der Stellung der unteren Inzisiven, die wie der disto-bukkale Höcker des zweiten Molaren auf Höhe des Trigonum retromolare stehen (Abb. 19).

18. Zahnachsen in Richtung der …

19. … schließenden Muskulatur
Nicht nur die Stellung der Seitenzähne ist ausschlaggebend für eine optimale Kaufunktion. Die Verteilung der Kontaktpunkte wie beim natürlichen physiologischen Gebiss ist essentiell, um die Kaukräfte auf ein Minimum zu reduzieren. Der VITA PHYSIODENS Posteriores, der eigens von Dr. Eugen End für das Konzept der Natur entwickelt und modelliert wurde, hat alle Voraussetzungen um dieses Ziel leicht zu erreichen (Abb. 20 und 21).

20. Physiologische OK-Kontakte.

21. Kontakte wie im natürlichen Gebiss.
Die Umsetzung
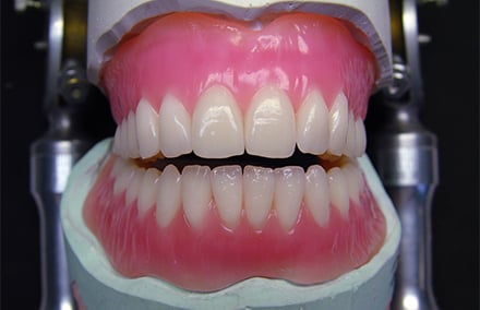
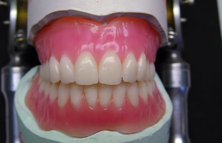
Die Oberkieferprothese wird in der Pressküvette mit verschieden eingefärbten Kunststoffen gepresst und das Zahnfleisch möglichst naturgetreu nachgebildet (Abb. 22 bis 24).

22. Verschiedenfarbige Kunststoffe.

23. Labial eingelegte Gingiva.

24. Fertig polierte Prothese.
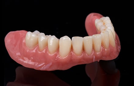
Der Unterkiefer wird nach der Herstellung des individuellen Stegs (Abb. 25 bis 27) und des Modellgusses (Abb. 28 bis 30) in der Vorwalltechnik fertiggestellt. Um die Prothese möglichst „unsichtbar“ zu machen wird mit eingefärbten Kunststoffen gearbeitet. Abbildung 31 und 32 zeigen die fertige Unterkieferprothese mit dem eingearbeiteten Modellguß von basal mit auswechselbaren Geschiebeteilen.

25. Herstellung des Stegs …

26. … auf vier Implantaten.

27. Der fertige Steg.

28. Modellguss in Wachs.

29. Retentionsstifte.

30. Modellguss opaquiert.

31. Steg mit allen Teilen.

32. Natürliche weiß/rote Ästhetik.
Welche Suprakonstruktionen zur Anwendung kommen, muss der Behandler individuell mit dem Patienten entscheiden. Faktoren wie das Patientenalter, die Reinigungsfreundlichkeit der Implantataufbauten und des Zahnersatzes, die motorischen Fähigkeiten und die finanziellen Möglichkeiten des Patienten sind zu berücksichtigen. Der Zahntechniker ist gefordert die heute verfügbaren Materialien in höchster Qualität für die Praxis umzusetzen. Abbildung 33 und 34 zeigen die gelungene Prothetik auf den Implantaten.

33. Die individuelle Zahnaufstellung.

34. Finale Versorgung im OK und UK.
Imlantatgetragener Zahnersatz ist zukunftsweisend und komfortabel, ob festsitzend oder herausnehmbar. Die Zahntechnik muss sich darauf einstellen. Eine schöne Herausforderung.

"Die VITA PHYSIODENS Zähne wirken mit ihrer körperhaften Form kräftig und ausdrucksstark. Markante Interdentalleisten, konvexe Labialflächen, natürliche Krümmungsmerkmale und eine charakteristische Oberflächenmorphologie erinnern an meisterlich modellierte Zähne."
Björn Czappa , Zahntechnikermeister, Oldenburg, Deutschland
Im folgenden Fallbeispiel stand die Erfüllung der hohen funktionell-ästhetischen Patientenansprüche im Mittelpunkt. Der zahnlose Oberkiefer wurde mit einer herausnehmbaren Versorgung therapiert. Im geringbezahnten Unterkiefer führten festsitzende Brücken zum Ziel. Mit naturkonformen Konfektionszähnen konnte ein in Form und Farbe passendes Gegenstück zu den keramischen Verblendungen im Unterkiefer geschaffen werden. Im Endergebnis ist kein ästhetischer Unterschied zwischen den verschiedenen Materialien erkennbar.
In der zeitgemäßen Zahntechnik interagieren Handwerk und individuelle Kunstfertigkeit mit konfektionierten Komponenten. Insbesondere bei anspruchsvollen Patienten führen Standardlösungen selten zum gewünschten Ergebnis. Individualität ist entscheidend! Die Komposition von vorgefertigten Restaurationselementen und individueller Veredlung ermöglicht auf effizientem Weg ein nahezu kompromissfreies Arbeiten.
Die Unverwechselbaren
Seit jeher stecken wir Zahntechniker viel Zeit, Mühe und Geduld in eine keramische Schichtung. Konfektionszähne hingegen wurden in der Vergangenheit oft stiefmütterlich behandelt. Dies widerspricht modernen prothetischen Konzepten, in denen die Ästhetik herausnehmbarer Versorgungen einen hohen Stellenwert einnimmt. Wesentlicher Baustein für die komplexe Versorgung im dargestellten Patientenfall sind die Premium-Zähne VITA PHYSIODENS. Das unverwechselbare Form-, Farb- und Materialkonzept der polychromatischen Zähne lässt trotz „Konfektion“ individuelle Versorgungen mit charakteristischen Besonderheiten zu. Aufgrund ihrer körperhaften Form und der naturkonformen Zahnmerkmale sind die Zähne eine perfekte Ergänzung innerhalb unseres Arbeitskonzeptes geworden.
Zahntechnische Fallanalyse und Planung
Die 61-jährige Patientin konsultierte die Zahnarztpraxis mit dem Wunsch einer neuen prothetischen Versorgung. Die Geschäftsfrau ist in der Öffentlichkeit tätig und hat hohe Ansprüche an ihr Erscheinungsbild. Der bisherige Zahnersatz entsprach nicht ihren ästhetischen Vorstellungen und stand nicht im Einklang mit ihrem äußerst gepflegten Aussehen. Für einen erhöhten Tragekomfort und mehr Sicherheit entschied sich die Patientin für eine gaumenfreie, implantatgetragene Rehabilitation des zahnlosen Oberkiefers. Der Unterkiefer sollte komplett festsitzend versorgt werden, um auch hier eine optimale prothetische Stabilität zu gewährleisten.
Oberkiefer: Doppelkronenkonzept
Im zahnlosen Oberkiefer wurden sechs Implantate inseriert, um diesen mit einer Doppelkronen-Prothese (Weigl-Protokoll) zu versorgen. Individuelle Titan-Abutments sollten als Primärteile fungieren und zusammen mit Galvano-Sekundärteilen festen Halt gewährleisten. Vorteile dieser Art des Zahnersatzes sind die Abnehmbarkeit, die gute Hygienefähigkeit sowie die spannungsfreie Passung. Im gezeigten Fall waren die Implantate statisch ideal im Kiefer verteilt. Die quadranguläre Abstützung über sechs Implantate bot ein ausreichend großes Unterstützungspolygon.
Unterkiefer: Verbundbrücke
Im Unterkiefer waren nur noch 33 und 34 sowie 43 und 44 als Pfeilerzähne verfügbar. Die Inzisiven fehlten, nach 34 beziehungsweise 44 zeigte sich beidseits ein Freiende. Für die prothetische Therapie wurden hier eine zahngetragene Brücke im Frontzahngebiet (43 auf 33) und zwei Verbundbrücken (Greifswalder Konzept) im Seitenzahnbereich geplant. Verbundbrücken sind bedingt abnehmbare Versorgungen, die mindestens einen Zahn (34 beziehungsweise 44) und ein Implantat verbinden. Alternative zur Verbundbrücke sind implantatgetragene Einzelkronen. Als Vorteile der Verbundbrücke erachten wir die reduzierte Implantatanzahl und den hohen Tragekomfort. Bei einer rein implantatgetragenen Restauration ist die Tastsensitivität äußerst gering. Es fehlen parodontale und pulpale Rezeptoren. Durch das Einbeziehen parodontal gesunder und vitaler Zähne bleibt die physiologische taktile Sensitivität erhalten. Die Zähne 33, 34 sowie 43, 44 wurden für die Aufnahme der drei Brückenversorgungen vorbereitet. Zur strategischen Pfeilervermehrung im Bereich der Freiendlücken inserierte der Zahnarzt in regio 47 und 37 jeweils ein Implantat.
Gerüstherstellung
Als Grundlage für die Restaurationen wurde ein Set-up erstellt und über einen Silikonschlüssel fixiert. Dies diente als Vorlage für alle weiteren Arbeitsschritte.
Individuelle Abutments, Doppelkronen und Galvanokappen
Mit dem Laborscanner digitalisierten wir Modelle sowie Set-ups und konstruierten in der CAD-Software die Abutments. Die Implantat-Aufbauten im Oberkiefer fungieren im vorgestellten Konzept zugleich als Primärteile. Sie wurden mit einer Konizität von zwei Grad konstruiert und in der 5-Achsfräsmaschine (Datron D5) in Titan umgesetzt. Um eine dauerhaft gute Funktion der Doppelkronen zu gewährleisten, ist eine exzellente Passung des Sekundärteils auf dem Primärteil anzustreben. Im Tischfräsgerät verliehen wir den gefrästen Primärkronen eine hochglatte Oberfläche. Hinweis: Bereits kleine Unebenheiten gefährden den Langzeiterfolg der Restauration! Das Galvano-Feingold konnte nun direkt auf die glatte Oberfläche der Primärteile galvanisiert werden (Abb. 1). Die Funktion einer Galvano-Doppelkrone wird über die Adhäsion erreicht. Das tribologische Verhalten der Titan-Primärteile und der Galvanokappen erachten wir als beispielhaft (Abb. 2).
Für die Implantate im Unterkiefer fertigten wir zwei konische Abutments und stellten für die Zähne 44 und 34 Galvanokappen her. Das Konzept der Greifswalder Verbundbrücke besagt, dass der natürliche Pfeilerzahn durch die fest zementierte Galvanokappe vor dem Risiko einer Sekundärkaries zu schützen ist. Behutsam gummierten wir die 0,2 mm dünnen Galvanokappen und schafften eine Grundlage für das semipermanente Zementieren der Brücke (Abb. 3).

1. Oberkiefer-Implantatmodell mit Titan-Abutments (=Primärteile) und Galvanokappen (=Sekundärteile).

2. Die hochglatte Oberfläche der Primärteile ist eine Prämisse für die langlebige Funktion.

3. Unterkiefermodell mit präparierten Pfeilerzähnen, Galvanokappen und Titan-Abutments.
Tertiärstruktur und Brückengerüst
uf Basis des digitalisierten Set-ups wurden die drei Brückengerüste für den Unterkiefer in verkleinerter Kronenform CAD/CAM-gestützt aus einer edelmetallfreien Legierung hergestellt (Abb. 4 bis 6).
1. Verbundbrücke: Implantat regio 47 (Abutment) auf Zahn 44 (Galvanokappe)
2. Verbundbrücke: Implantat regio 37 (Abutment) auf Zahn 34 (Galvanokappe) (Abb. 7)
3. Zahngetragene Brücke: Von Zahn 33 auf Zahn 43
Für den Oberkiefer fertigten wir eine gegossene Tertiärstruktur aus einer edelmetallfreien Legierung (Quattro Steel Soft, Goldquadrat). Um dem Gerüst eine lockere und spannungsfreie Passung zu verleihen, wurden die Galvanokappen zuvor mit einem Distanzlack (100 bis 150 μm) ummantelt.
Für das intraorale Verkleben wurden folgenden Komponenten an die Praxis übergeben (Abb. 8):
Primärteile: individuelle Titan-Abutments
Sekundärkappen: direkt abgeschiedene Galvanokappen
Tertiärstruktur: gegossenes NEM-Gerüst
Abformlöffel: individueller Löffel
Nach dem Eingliedern der Abutments in den Mund verklebte der Zahnarzt die Galvanokappen mit dem Tertiärgerüst entsprechend dem Weigl-Protokoll (intraorale Fügung). Danach wurde das Gerüst dem Mund entnommen und die Klebeüberschüsse entfernt. Über eine Fixationsabformung mit eingesetztem Gerüst wurde diese intraorale Passung an uns übermittelt. Mit der Sicherheit, einer präzisen Gerüstpassung am Patienten konnten wir nun unsere volle Konzentration auf die ästhetische Feinarbeit legen.

4. Das Set-up für den Unterkiefer gibt das anzustrebende Ziel wieder.

5. Mittels Silikonwall wurde das Set-up fixiert ...

6. ... und basierend darauf die Gerüste in verkleinerter Kronenform gefertigt

7. Nahansicht des Gerüstes für die Verbundbrücke.

8. Diese Komponenten wurden an die Praxis übergeben: Primär- und Sekundärkronen, Tertiärstruktur sowie individueller Löffel.
Individuelle ästhetische Umsetzung
Keramische Verblendung
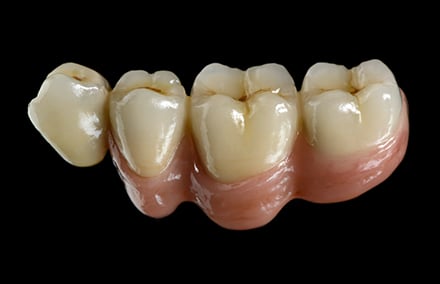
Die Brückengerüste im Unterkiefer wurden keramisch verblendet. Wir favorisieren dafür die Feinstruktur-Feldspat-Keramik VITA VM 13. Auf vergleichsweise schnellem Weg realisierten wir mit diesem Material eine gleichmäßige und natürlich wirkende Schichtung (Abb. 9). Für den Bereich der prothetischen Gingiva verwendeten wir verschiedenfarbige Gingivamassen. Die verblendeten Brücken zeigten ein wunderbares, lebendiges Farbspiel, das von innen heraus Natürlichkeit ausstrahlt (Abb. 10). Die filigrane Textur und die Homogenität der Keramik lassen das Licht auf der Oberfläche brechen und reflektieren – adäquat zum natürlichen Zahnschmelz.

9. Nahansicht einer keramisch verblendeten Verbundbrücke.

10. Keramisch verblendete Frontzahnbrücke. Die filigrane Textur und die Homogenität der Keramik lassen das Licht auf der Oberfläche brechen und reflektieren.
Konfektionszähne und Verblendung der Gingivaanteile
Für ein einheitliches Erscheinungsbild war das natürliche Aussehen der keramischen Verblendungen im Unterkiefer auf den Zahnersatz im Oberkiefer zu übertragen. Die Konfektionszähne VITA PHYSIODENS waren in diesem Fall maßgeblicher Baustein für ein harmonierendes Endergebnis. Aufgrund der Materialstruktur (MRP, microfiller reinfoced polyacrylic) ermöglichen die Zähne nicht nur einen hohen Kaukomfort, sondern auch eine außergewöhnliche Abrasionsbeständigkeit. Die Zahngarnituren für den Oberkiefer beinhalten 21 verschiedene Frontzahnformen. Mithilfe der Formenkarte wurden die passenden Zähne ausgesucht und aufgestellt. Nach dem Konditionieren des Gerüstes stellten wir die Prothese in Kunststoff fertig.
Die VITA PHYSIODENS Zähne wirken mit ihrer körperhaften Form kräftig und ausdrucksstark (Abb. 11). Markante Interdentalleisten, konvexe Labialflächen, natürliche Krümmungsmerkmale und eine charakteristische Oberflächenmorphologie erinnern an meisterlich modellierte Zähne. Auch hinsichtlich ihrer lichtoptischen Eigenschaften müssen die VITA PHYSIODENS Kunststoffzähne keinen Vergleich mit den keramischen Verblendungen im Unterkiefer scheuen. Sie weisen einen fließenden Farbverlauf von zervikal nach inzisal auf. Damit gelang es VITA PHYSIODENS auch in diesem Fall exzellent mit dem nuancenreichen Farbspiel der keramischen Verblendungen zu harmonieren.

11. Die Konfektionszähne VITA PHYSIODENS harmonieren mit der keramischen Verblendung.

12. Die Doppelkronen-Prothese von okklusal. Die gaumenfreie Gestaltung erhöht den Tragekomfort zusätzlich.

13. Ansicht von basal. Die Sekundärteile wurden vor der Fertigstellung intraoral mit dem Gerüst verklebt.

14. Die Premium-Zähne im Oberkiefer sind das perfekte Pendant zu den individuellen keramischen Verblendungen im Unterkiefer.
Hohe Aufmerksamkeit widmeten wir der prothetischen Gingiva. Denn ein herausnehmbarer Zahnersatz muss nicht zwangsläufig wie eine „Plastikprothese“ aussehen. Mit modernen Kunststoff-Verblendmaterialien ist ein individuelles und naturkonformes Aussehen möglich. Wir gestalteten ein Wechselspiel aus konkaven und konvexen Flächen und imitierten die Alveolarfortsätze sowie Papillenstrukturen. Eine polychrome Zahnfleischstruktur komplettierte das ästhetische Ergebnis. Bei der Politur blieb die natürliche Profilierung der PHYSIODENS Zähne sowie deren Mikro- und Makrotextur vollkommen erhalten; dies ist eine Prämisse, die wir an Konfektionszähne stellen. Die Doppelkronen-Prothese für den Oberkiefer und die keramisch verblendeten Brücken für den Unterkiefer wurden nach einer abschließenden Kontrolle an die Praxis übergeben (Abb. 12 bis 14).
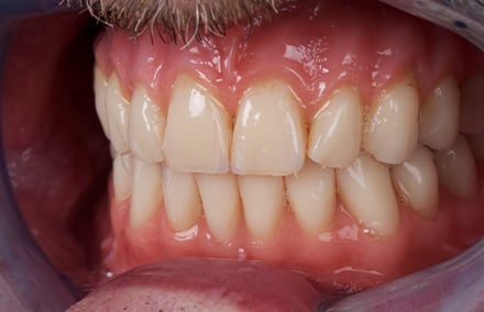
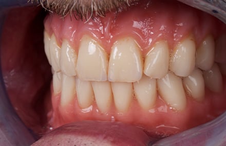
Im Mund der Patientin zeigte die Oberkiefer-Prothese perfekte Gleiteigenschaften, ein einfaches Ein- und Ausgliedern und festen Halt. Die zahngetragene Brücke im Unterkiefer-Frontzahngebiet wurde permanent zementiert, die Verbundbrücken semipermanent eingegliedert. Wunderbar natürlich! So wirkten die prothetischen Restaurationen im Mund der Patientin (Abb. 15 - 17).

15. Eingegliedert! Teleskopprothese im Oberkiefer ...

16. ... und keramische Brücken im Unterkiefer.

17. Die prothetischen Restaurationen im Mund der Patientin.
Fazit
Die Kombination zweier verschiedener prothetischer Konzepte – Doppelkronen-Prothese und Verbundbrücken – ergab einen Einklang in Funktion und Ästhetik. Die anspruchsvolle Patientin erhielt im Ober- und im Unterkiefer hochästhetische Restaurationen. Das perfekte Pendant zu den keramischen Verblendungen im Unterkiefer beziehungsweise zu natürlich schönen Zähnen bilden die Premium-Zähne VITA PHYSIODENS. Den Balanceakt „Konfektion und Individualität“ haben wir so auf sicherem Weg meistern können.

Zahntechnikermeister Thomas Weiler, Bocholt, Deutschland

Dr. Babak Varzideh, Bocholt, Deutschland
„Durch die Individualität des Menschen ist das Maß seines möglichen Glücks im Voraus bestimmt“, bemerkte schon der berühmte Philosoph und Denker Arthur Schopenhauer. Obwohl heutzutage immer mehr „von der Stange“ ist, gibt es auf der anderen Seite auch eine steigende Zahl an Patientinnen und Patienten, die diese These Schopenhauers für sich verinnerlicht haben und deswegen auch an ihren Zahnersatz die Forderung nach absoluter Individualität stellen. Dieser Wunsch macht vor keiner Versorgungsform halt und gilt eben nicht nur für kosmetische Veneerversorgungen, was im Folgenden anhand einer totalprothetischen Neuversorgung gezeigt wird. In enger Absprache mit dem anspruchsvollen Patienten wurden dabei alle werkstofflichen und künstlerischen Möglichkeiten konsequent ausgereizt, um eine größtmögliche, altersgerechte Individualität zu verwirklichen.
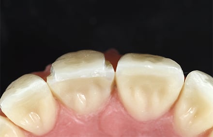
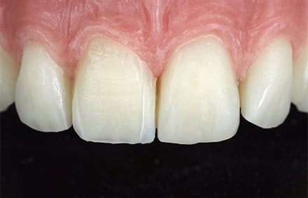
Der Patientenfall
Ungefähr drei Monate nach der Extraktion seiner verbliebenen Teleskoppfeilerzähne im Unterkiefer wurde ein 61-jähriger Patient in der Praxis vorstellig, um sich beraten zu lassen. Der Halt der Prothese war ohne die Verankerung im Unterkiefer nicht mehr gegeben. Aufgrund der Knochenresorption wurde dem Patienten eine Unterfütterung als mögliche Therapie aufgezeigt. Generell war dieser allerdings mit der Ästhetik beider Prothesen unzufrieden. Die konfektionierten Zähne waren ihm zu dunkel. Er klagte über einen insuffizienten Halt und eine gestörte Phonetik (Abb. 1). Bei der klinischen Inspektion fiel auf, dass bei der aktuellen Aufstellung die Gesichtsmitte nicht mit der Aufstellung übereinstimmte. Im ersten Quadranten waren die Zähne zu weit nach kaudal exponiert, sodass die Lachlinie schief erschien (Abb. 2). Die Zahnachsen der Oberkieferinzisiven harmonierten nicht mit der tatsächlichen Mittellinie. Der Inzisalkantenverlauf zwischen den mittleren und den lateralen Inzisiven war außerdem zu gleichmäßig, weswegen das natürliche Spiel der unterschiedlichen Dimensionierung fehlte. Die Schneidekanten im Unterkiefer zeigten sich stark abgerundet und entsprachen damit nicht der Anatomie von in Funktion stehenden Zähnen (Abb. 3). Die Papillen waren zu lang und zu spitz gestaltet, generell wurde die gingivale Anatomie nicht auf dem vestibulären Lippenschild simuliert. Beim Lachen fühlte sich der Patient deswegen unwohl.
Patientenentscheidung durch visuelle Beratung
Anhand von vorhandenen Falldokumentationen wurde dem Patienten im Rahmen der Beratung gezeigt, welche individuellen Möglichkeiten die Totalprothetik heute bietet. Dabei konnten die individuellen Details anschaulich erklärt werden. Der Unterschied zwischen einer Standardversorgung und einer persönlich zugeschnittenen Rehabilitation mit individuellem Lippenschild, altersgerechter Zahnmorphologie und charakteristischen Bemalungen wurde dabei schnell deutlich. Aufgeklärt und inspiriert von den präsentierten Patientenfällen entschloss er sich für eine totalprothetische Neuanfertigung im Ober- und Unterkiefer, bei der die Individualität einer altersgerechten Versorgung voll ausgereizt werden sollte. Ausdrücklich legte der Patient dabei Wert auf eine naturgetreue Reproduktion der vestibulären Gingivaanteile und eine Individualisierung der Zähne. Der herausnehmbare Zahnersatz sollte auf keinen Fall mehr als solcher identifiziert werden können. Eine festsitzende Versorgung mit Implantaten lehnte der Patient generell ab. Aufgrund der Beratung und der visuellen Eindrücke konnte der Patient eine eigene Entscheidung darüber treffen, wie er sich seine Neuversorgung vorstellte. Umso individueller der Zahnersatz werden soll, umso wichtiger ist es, detailgenau auf Patientenwünsche einzugehen.

1. Der Patient war mit seiner Versorgung unzufrieden.

2. Im ersten Quadranten waren die Zähne generell zu weit nach kaudal exponiert.

3. Die Schneidekanten im Unterkiefer zeigten sich stark abgerundet und wirkten nicht natürlich.
Die Arbeitsgrundlage
Als Grundlage für die Restaurationen wurde ein Set-up erstellt und über einen Silikonschlüssel fixiert. Dies diente als Vorlage für alle weiteren Arbeitsschritte.
Anhand von Alginatabformungen wurden anatomische Modelle angefertigt, die zur Herstellung individueller Löffel dienten. Mit diesen wurden die mukodynamischen Abformungen durchgeführt, auf deren Grundlage die Meistermodelle hergestellt wurden. Aus lichthärtendem Plattenmaterial wurden Registrierschablonen auf den Meistermodellen gefertigt. Die Wachswälle konnten im Anschluss mit Hilfe der Modellanalysen positioniert werden. Im Rahmen der Kieferrelationsbestimmung wurden die Wachswälle intraoral so optimiert, dass sie bei der Aufstellung in Wachs eine genaue Orientierung boten. Die Campersche Ebene wurde daraufhin mit einem Gesichtsbogen registriert. Abschließend erfolgte die Verschlüsselung der beiden Registrierschablonen. Nach der entsprechenden Artikulation der Meistermodelle konnte mit der Aufstellung in Wachs begonnen werden (Abb. 4).

4. Nach der patientengerechten Artikulation der Meistermodelle wurde mit der Aufstellung begonnen.
Individuelle Handarbeit
Für die Aufstellung nach BLP (Bio-Logische Prothetik nach Dr. End) wurden die Premiumkonfektionszähne VITA PHYSIODENS (VITA Zahnfabrik, Bad Säckingen, Deutschland) herangezogen. Gerade wenn individuelle Ästhetik gefragt ist, bieten die VITA PHYSIODENS Anteriores den Vorteil, dass die Garnitur per se handgefertigt ist. Die dreidimensionale anatomische Schichtung mit Wurzel-, Dentin- und Schmelzmasse zeigt dadurch immer wieder einen individuellen Charakter und ein nuancenreiches Farb- und Lichtspiel. Jeder Zahn ist ein Unikat. Die Frontzähne boten somit eine geeignete Grundlage, um dem Bedürfnis des Patienten nach Individualität gerecht zu werden. Bei Textur und Morphologie orientierten sich die Entwickler der Garnitur an echten Zähnen, weshalb Zahnachsen, Winkelmerkmale und Längen-Breitenverhältnis automatisch dem natürlichen Regelwerk entsprechen. Abrasionsflächen wurden im Rahmen der Aufstellung zusätzlich eingearbeitet, um einen altersgerechten Charakter zu schaffen. Mit dieser mehr oder weniger ausgeprägten Modifikation kann die Frontzahngarnitur je nach Bedarf das gesamte Altersspektrum wiedergeben. Eine leicht verschachtelte Aufstellung sorgte des Weiteren für Authentizität. Die naturgetreue Morphologie der VITA PHYSIODENS Posteriores machte eine effiziente Aufstellung im Seitenzahnbereich möglich, da die ineinandergreifenden approximalen Flächen für eine unkomplizierte und schnelle Positionierung sorgten. Die anatomischen Okklusalflächen – gemäß der physiologischen Okklusion – führten automatisch zu gleichzeitigen und gleichmäßigen, punktförmigen Okklusalkontakten. In diesem Fall wurde aus Platzgründen auf die Aufstellung der zweiten Molaren verzichtet, was normalerweise fester Bestandteil der BIO-Logischen Aufstellung ist.
Anatomie in Wachs
Auf die Nachahmung der mukogingivalen Anatomie wurde schon bei der Wachsanprobe penibel geachtet. Hier sollte der Patient schon so genau wie möglich wissen, was ihn am Ende erwartet. Auch die Gaumenfalten des Patienten wurden für eine optimale Phonetik und zur funktionellen Unterstützung bei der Zerkleinerung von Nahrung imitiert. Die Gaumenfalten auf dem Meistermodell wurden für diese Zwecke mit Knetsilikon abgeformt und ein Schlüssel hergestellt. Mit diesem Silikonstempel konnten die Gaumenfalten in das erwärmte Wachs übertragen und anschließend verfeinert und geglättet werden. Während der Wachseinprobe zeigte sich der Patient mit dem erreichten Zwischenergebnis zufrieden. Anhand der Aufstellung wurden die möglichen Individualisierungen und Charakterisierungen der Konfektionszähne noch einmal mit dem Patienten besprochen und seine Wünsche aufgenommen. Schließlich wurden auch noch Aufnahmen mit dem Wax-up gemacht, sodass der Patient und sein näheres Umfeld die momentanen Rehabilitationen mit der neuen Situation in Wachs in Ruhe abgleichen konnten. Nach einer kurzen Bedenkzeit gab er schließlich sein Okay für die Umsetzung in Kunststoff. Die beiden Wachsaufstellungen wurden auf den Meistermodellen reponiert und die Situation mit einem lagestabilen Silikonschlüssel fixiert. Anschließend wurden die Zähne entnommen und abgebrüht sowie an den Verbundflächen abgestrahlt, um eine mikroretentive Oberfläche zu erzeugen. Es folgte die Repositionierung der Zähne in die Silikonschlüssel und die chemische Konditionierung der Verbundflächen mit VITACOLL Haftvermittler (VITA Zahnfabrik, Bad Säckingen, Deutschland). Mit einem Kaltpolymerisat wurden die Basen in Polymer umgesetzt und anschließend mit einer Kunststofffräse ausgearbeitet. Die Vestibulärflächen der Prothesenbasen und die konfektionierten Zähne wurden daraufhin mit Aluminiumoxid abgestrahlt (Abb. 5). Im Oberkiefer wurden außerdem die mesialen und distalen Flanken der mittleren Inzisiven und die mesialen Flanken der beiden lateralen Inzisiven mit einer Kunststofffräse reduziert (Abb. 6, 7).

5. Auf die Umsetzung, folgte das Abstrahlen der Zähne und des vestibulären Lippenschilds mit Aluminiumoxid.

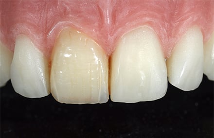
6. Die für die Individualisierung reduzierten mesialen und distalen Flanken von Konfektionszahn 11.

7. Der inzisale Aufblick zeigt die Dimensionierung der kontrollierten Reduktion.
Individuelles Lichtspiel
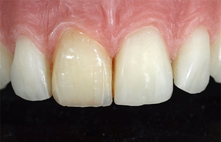
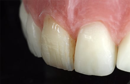
Die vestibulären Flächen der Zähne und des Lippenschilds wurden mit VITA VM LC MODELLING LIQUID konditioniert. Die Individualisierung erfolgte mit dem lichthärtenden und thixotropen Verblendkompositsystem VITA VM LC flow und den zugehörigen Malfarben PAINT (beides VITA Zahnfabrik, Bad Säckingen, Deutschland). Zuerst wurden an den reduzierten Flanken der oberen Inzisiven mit einer ausgewogenen Wechselschichtung aus EFFECT ENAMEL 9 (bläulich-transluzent), transparentem WINDOW (WIN) und ENAMEL (END) zusätzliche Lichteffekte erzeugt (Abb. 8, 9). Nach der Lichthärtung dieser Individualisierungen wurde approximal und zervikal sowie an den abradierten Inzisalkanten und in den palatinalen Grübchen mit VITA VM LC PAINT 15 (kastanienbraun) bräunlich charakterisiert (Abb. 10, 11). Mit der gleichen Malfarbe wurden an den Übergängen zwischen Zahn und VITA VM LC flow zarte Risse angedeutet. Alles geschah so, wie es zuvor mit dem Patienten anhand von Fotografien detailliert besprochen worden war. Nach der Fixierung der Charakterisierungen durch Polymerisation wurden die Zähne und die sulkulären Übergänge mit lichthärtendem OPTIGLAZE GC (GC, Tokyo, Japan) versiegelt (Abb. 12, 13).

8. Die Individualisierung mit dem thixotropen Verblendkompositsystem VITA VM LC flow.

9. Nach der Lichthärtung der individualisierten Randleisten konnte mit der Charakterisierung begonnen werden.

10. Ein feiner Haarriss sowie zervikale und approximale Verfärbungen wurden angelegt.

11. Die altersgerecht eingekürzte Inzisalkante und die palatinalen Grübchen wurden ebenfalls charakterisiert.

12. Nach lichthärtender Fixierung der Malfarbe wurde Zahn 11 mit Glasur versiegelt.

13. Die laterale Perspektive zeigt die Harmonie zwischen Morphologie und Charakterisierung.
Individuelle mukogingivale Anatomie
Bei der Gestaltung der mukogingivalen Anatomie wurde stets auf einen unregelmäßigen Auftrag mit VITA VM LC flow GINGIVA geachtet, um eine natürliche Wirkung zu erzielen. Die Alveolarmukosa wurde bis zur mukogingivalen Grenze mit braunrotem GINGIVA 4 gestaltet. Im Bereich der befestigten Gingiva an den Alveolarfortsätzen wurde helleres GINGIVA 1 (altrosa) aufgetragen, um eine dreidimensionale Tiefenwirkung zu erreichen. Auch die Lippenbändchen wurden mit GINGIVA 1 nachgeahmt. Nach der Endpolymerisation wurde das vestibuläre Lippenschild gemäß dem anatomischen Vorbild irregulär gestippelt ausgearbeitet. Dabei wurde darauf geachtet, die Stippelungen nicht zu tief anzulegen, um die einfache Reinigung mit der Zahnbürste zu gewährleisten und keine Schmutznischen entstehen zu lassen. Um die Charakterisierungen nicht mit der Politur abzutragen, wurden die Rehabilitationen sehr schonend mit Ziegenhaarbürstchen, Schwabbel und Polierpaste finalisiert (Abb. 14 - 17).

14. Nachdem alle Frontzähne modifiziert worden waren, wurde das vestibuläre Lippenschild individualisiert.

15. Die Alveolarmukosa wurde bis zur mukogingivalen Grenze mit braunrotem GINGIVA 4 kreiert.

16. Im Bereich der befestigten Gingiva wurde helleres GINGIVA 1 (altrosa) aufgetragen.

17. Bei der minimalen Ausarbeitung wurde eine irreguläre Stippelung angelegt.
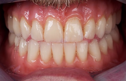
Klinisches Ergebnis und Fazit
Je individueller in der Totalprothetik gearbeitet werden soll, desto wichtiger ist es, den Patienten in die Planung der finalen Rehabilitation aktiv miteinzubinden. In diesem Fall erwiesen sich Fotodokumentationen anderer totalprothetischer Arbeiten als probates Mittel, um dem Patienten überhaupt anschaulich vermitteln zu können, wie individuell heutzutage in der Totalprothetik gearbeitet werden kann. Der VITA PHYSIODENS als per se individuelles Unikat aus der Manufaktur der VITA Zahnfabrik in Kombination mit dem facettenreichen Verblendkompositsystem VITA VM LC flow ermöglichte es, materialseitig auf die Wünsche des Patienten einzugehen. Zu guter Letzt waren aber Imagination sowie zahntechnisches und künstlerisches Geschick entscheidend, um zwei Rehabilitationen entstehen zu lassen, die nicht mehr von einem natürlichen Gebiss unterschieden werden konnten. Die Arbeit passte zum Alter, Charakter und Lebensgefühl des Patienten und fügte sich damit harmonisch in das Große und Ganze ein. Absolute Individualität war in diesem Fall also das Erfolgsrezept für einen zufriedenen und glücklichen Patienten.

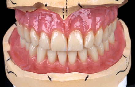
18. Die fertig ausgearbeiteten und polierten totalprothetischen Arbeiten im Artikulator.

19. Schon auf den Modellen wirkten die Arbeiten sehr natürlich.

20. Die fertigen Rehabilitationen vor der Eingliederung im Patientenmund.

21. Der Blick von lateral zeigt die dreidimensionale Tiefenwirkung der mukogingivalen Anatomie.

22. Die modifizierten Zähne in der ästhetischen Zone mit lebendigem Farb- und Lichtspiel.

23. Die Rehabilitationen wirken zusammen wie ein individuelles Stück Natur.

24. Im Aufblick werden die charakterisierten Grübchen und Fissuren an den Konfektionszähnen sichtbar.

25. Die fertige Oberkiefertotalprothese.

26. Das rote und weiße Zusammenspiel in der ästhetischen Zone.

27. Die individualisierten und charakterisierten Frontzähne…

28 … wirken auch in der Detailansicht absolut natürlich.

29. Die fertige Unterkiefertotalprothese.

30. Eine dezente Asymmetrie der Gingiva erzeugt einen natürlichen Eindruck.

31. Die altersgerechten Schlifffacetten und die Fissuren wurden auch im Unterkiefer bräunlich charakterisiert.

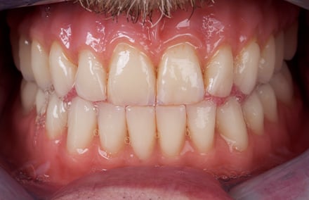
32. Bei der Eingliederung wirkten die Rehabilitationen wie ein natürliches Gebiss.

33. Die eingearbeiteten Schlifffacetten an den Inzisiven harmonierten funktionell in der Protrusion.

34. Die Inzisalkanten der Oberkieferinzisiven passten zum Lippenverlauf.


Wissensvorsprung sichern mit der VITA ACADEMY.
Starten Sie jetzt durch: Entdecken Sie unsere vielfältigen Kursangebote, Online-Workshops und Webinare. Melden Sie sich noch heute an und sichern Sie sich Ihren exklusiven Platz!
VITA Zahnfabrik H. Rauter GmbH & Co. KG
Spitalgasse 3
79713 Bad Säckingen
Germany
Phone: +49 7761 562 0
Hotline: +49 7761 562-222
E-Mail: info@vita-zahnfabrik.com
© 2025 VITA Zahnfabrik. All rights reserved.