Exemples pratiques convaincants – VITA PHYSIODENS en action
Nos cas cliniques montrent l'utilisation réussie de ce produit dans les prothèses totales, partielles et implantaires, en mettant l'accent sur l'esthétique, la fonction et la satisfaction des patients. Des restaurations complexes aux solutions esthétiques sophistiquées, laissez-vous inspirer par les rapports de cas de vos collègues.
-
Aperçu des cas cliniques
- Le patient gériatrique : prothèse complète individuelle comme solution de restauration conventionnelle adaptée à l'indication
- Prothèse implanto-portée selon le concept biologique (BLP)
- Un résultat esthétique naturel ! La fabrication standardisée au service du sur-mesure - Des dents artificielles modernes comme pendant idéal aux dents naturelles
- L’étincelante prothèse amovible complète personnalisée - Imiter la nature avec de l’imagination, de l’artisanat et des pièces uniques stratifiés à la main

Dr Sanja Štefančić, Dentiste, Zagreb, Croatie

Samir Berisalić, Prothésiste dentaire, Celje, Slovénie
Ce rapport de cas décrit la réalisation d'une prothèse complète chez une patiente âgée de 93 ans et atteinte de surdité. En raison de l'atrophie prononcée de l'os maxillaire et de l'absence de communication verbale, il a été décidé de ne pas procéder à une nouvelle restauration fixe, afin de minimiser systématiquement le nombre de séances et la charge thérapeutique pour cette patiente gériatrique. Le choix s'est porté sur un flux de travail prothétique complet, classique et conventionnel, incluant une prise d'empreinte muco-dynamique et une mise en forme fonctionnelle des bords. La communication avec la patiente s'est faite au moyen de techniques non verbales. Ce cas souligne l'importance d'une prise en charge empathique, qui doit être adaptée aux besoins spécifiques des patients âgés présentant des limitations fonctionnelles et de communication complexes.
Introduction
La prothèse complète conventionnelle ne consiste pas seulement à disposer des dents dans de la cire. Elle exige au contraire le respect d'un ensemble complexe de règles pour comprendre quelle dent trouve sa place à quel endroit et dans quelle position. Celui qui maîtrise la prothèse complète possède ainsi une connaissance universelle du système stomatognathique. En effet, chez les patients édentés, tous les points de repère intra-oraux et la relation intermaxillaire ont disparu au fil du temps, de sorte qu'ils doivent donc être redéfinis et analysés avec précision en s’appuyant sur les repères anatomiques extra-oraux et leur corrélation. Outre les bases théoriques, une expérience en matière d'application et de traitement est également nécessaire pour que la collaboration entre le patient, le dentiste et le prothésiste dentaire donne naissance à une prothèse complète personnalisée et adaptée au patient, apportant à tous les participants une pleine satisfaction tant sur le plan esthétique que fonctionnel. Le cas clinique suivant a représenté un véritable défi en raison des symptômes gériatriques et des déficits anatomiques.
Défis gériatriques
En particulier chez les patients âgés présentant de multiples limitations, notamment des barrières de communication liées à une surdité, chaque rendez-vous supplémentaire chez le dentiste représente une charge émotionnelle, physique et organisationnelle. Dans de tels cas, la prothèse complète conventionnelle demeure la solution de choix afin d'éviter des interventions chirurgicales excessives nécessaires à une restauration fixe, ainsi que de nombreuses séances cliniques éprouvantes. La condition préalable à la réussite réside dans une approche thérapeutique empreinte de sensibilité tactile, de patience et d’une communication soigneusement adaptée. Chez les patients âgés présentant une forte atrophie du maxillaire et de la mandibule , la stabilité et la rétention des prothèses peuvent également constituer un défi majeur. Dans le cas suivant, la dentiste Dr Sanja Štefančić (Marisadent, Zagreb, Croatie) et le prothésiste dentaire Samir Berisalić (Interdent, Celje, Slovénie) montrent comment un tel cas de prothèse complète a pu être mené avec succès grâce à un savoir-faire, à un travail d'équipe empreint d'empathie et à l'utilisation des dents artificielles haut de gamme à stratification individuelle VITA PHYSIODENS.
Cas clinique
Une patiente de 93 ans, atteinte de surdité et présentant des mâchoires très atrophiées, s'est présentée au cabinet parce qu'elle n'était pas satisfaite de sa prothèse complète actuelle, tant sur le plan esthétique que fonctionnel. Elle ne se sentait pas sûre d'elle en raison d'un maintien insuffisant et jugeait l'aspect visuel de sa prothèse trop artificiel. Les dents artificielles présentaient des abrasions importantes et presque plus de relief occlusal, compromettant ainsi les performances masticatoires. La réalisation d’une nouvelle restauration était globalement difficile à cause des crêtes compromises et de l'absence de communication verbale. Pour ces raisons et du fait de son âge avancé, une restauration fixe, impliquant une chirurgie lourde et un protocole long, a été écartée. Au lieu de cela, le choix s'est porté sur une méthode prothétique classique et conventionnelle, déjà familière pour la patiente, couplée à une adaptation du protocole aux besoins personnels de la patiente. Dès le départ, une attention particulière a été accordée à la communication non verbale, à une conduite transparente du traitement et, en même temps, à la réduction du nombre de séances de soins.

Communication en cas de surdité
En raison de la surdité totale, la communication s'est faite par des signaux visuels, des expressions faciales claires et lentes, des notes écrites et des croquis simples. Il était essentiel d'instaurer une relation de confiance, favorisée par un contact visuel calme et par la démonstration préalable de chaque étape du traitement. L'équipe du cabinet a été formée aux techniques de communication non verbale de base, afin de rassurer la patiente et de permettre sa participation active.
Atrophie prononcée
Dans un premier temps, des empreintes anatomiques biphasées ont été prises à l'aide de porte-empreintes fonctionnels. Les porte-empreintes ont été individualisés et les bords fonctionnels ont été initialement moulés de manière ciblée avec un matériau thermoplastique plus rigide (Bite Compound, GC Holding AG, Lucerne, Suisse). Une seconde empreinte a ensuite été réalisée à l'aide du matériau d'empreinte 3M Soft Monophase Polyether, un polyéther monophase plus fluide (3M, Seefeld, Allemagne). La base prothétique a ainsi été étendue jusqu'aux limites anatomiques acceptables. Comme cette empreinte muco-dynamique a permis d'obtenir l'effet d'aspiration souhaité, garant d’une stabilité fonctionnelle, la fabrication de nouveaux porte-empreintes individuels et une deuxième séance de prise d'empreinte ont ainsi pu être évitées. Au laboratoire, les maîtres-modèles ont été fabriqués sur cette base et pré-articulés à l'aide des anciennes prothèses, afin de pouvoir concevoir des gabarits d'occlusion avec des bourrelets de cire adaptés à la patiente.


Enregistrement du plan d'occlusion
Dans un premier temps, le gabarit d'occlusion a été inséré dans le maxillaire et l'alignement du bourrelet de cire a été vérifié à l'aide d'un occlusiographe. Celui-ci devait être parallèle à la ligne bipupillaire et au plan de Camper, afin de permettre la création d'un plan d'occlusion parallèle à ces repères anatomiques. Cette étape garantit un positionnement harmonieux et conforme à l'anatomie de la nouvelle prothèse complète. Pour le transfert tridimensionnel des repères dans l'articulateur, le bourrelet de cire ainsi aligné a été enregistré à l'aide d'un arc facial.


Détermination des rapports intermaxillaires
La relation centrée des mâchoires a ensuite été enregistrée en plusieurs étapes. Pour ce faire, quatre cavités circulaires ont été réalisées dans la zone postérieure et une rainure en forme de V a été creusée dans la région 23 afin d'assurer la rétention du matériau de scellement dans le bourrelet de cire du maxillaire. Dans un premier temps, un enregistrement ponctuel a été réalisé exclusivement dans la région 23 à l'aide d'une butée en cire d'aluminium, puis la reproductibilité du positionnement a été vérifiée à plusieurs reprises. L'enregistrement dans le secteur postérieur a ensuite été effectué, également à l'aide de cire d'aluminium, en contrôlant à nouveau la possibilité de repositionnement à plusieurs reprises. Le verrouillage des bourrelets a été réalisé à l'aide d'un ciment temporaire fin. Enfin, la ligne médiane et la position des pupilles ont été tracées perpendiculairement sur le bourrelet de cire, afin de marquer le positionnement correct des incisives centrales et des canines. Les maîtres-modèles ont été articulés en conséquence et l'analyse du modèle a été effectuée à l'aide de ces repères.







Sur les traces de la nature
Dès ses études de médecine dentaire, le Dr Eugen End a observé et documenté des dentitions naturellement saines et a constaté à plusieurs reprises, dans le cadre de ses recherches, une répartition similaire des points de contact. L'intégrité de ces dentitions naturelles l'a amené à conclure que l'organe physiologique de la mastication est naturellement conçu pour que les morphologies dentaires correspondantes soient conservées dans leur forme de base et non altérées. Selon le concept de la « Prothétique BIO-Logique » (BLP), les contacts statiques ne se produisent qu'en position centrée, la seule position de contact physiologique. La position finale d'occlusion centrée physiologique correspond à la position de contact neuromusculairement détendue et relâchée de la mandibule avec le maxillaire, qui peut être adoptée par le patient lui-même, sans effort ni intervention externe, à partir de la position de repos de la mandibule. La mandibule est ainsi guidée dans un espace fonctionnel centré d'environ un millimètre, avec une précision reproductible et récurrente. Les cuspides de travail de la mandibule sont alors guidées contre les cuspides correspondantes du maxillaire. Tous les autres mouvements mandibulaires guidés par les dents sont considérés comme non physiologiques selon le concept BLP. Les similitudes observées dans la morphologie occlusale des dents ont rapidement conduit à la volonté de fabriquer des dents artificielles sur le modèle naturel. En effet, à cette époque, il n'existait que des dents artificielles ne reproduisant pas fidèlement la dentition naturelle. Les modélisations basées sur le plan de conception biologique ont donné naissance aux premiers prototypes qui ont ensuite mené aux dents VITA PHYSIODENS entièrement anatomiques, lancées en 1995 et utilisées dans le cas présenté ci-après.1
Choix des dents BIO-logiques
Le choix approprié des dents antérieures maxillaires en fonction de l'espace vertical et horizontal disponible, en harmonie avec la forme de la tête et les préférences de la patiente en termes de forme et de couleur, est une étape décisive pour l'acceptation de la restauration par la patiente. Dans ce cas, le choix s'est porté sur la gamme VITA PHYSIODENS qui offre un large choix avec 21 formes dans 28 teintes VITA SYSTEM 3D-MASTER et 16 teintes VITA classical A1-D4. Chaque dent artificielle est stratifiée à la main en trois dimensions avec des masses d'émail, de dentine et de collet. Chaque pièce est donc véritablement unique, garantissant un rendu naturel et personnalisé de la restauration prothétique complète. La formule de composite VITA MRP (Microfiller Reinforced Polymermatrix), hautement réticulée, permet d'espérer en outre une très grande résistance à l'abrasion au cours de l'évolution clinique.2 Pour ce cas, le choix s'est porté sur la dent de forme triangulaire VITA PHYSIODENS Anterior T1S en teinte D2. Dans l’arcade mandibulaire, la dent plus étroite VITA PHYSIODENS Anterior L2M a été utilisée. En secteur postérieur, c'est la dent VITA PHYSIODENS Posterior 21E qui a été sélectionnée en raison de l'espace disponible analysé.
Montage dans le secteur antérieur
Pour le positionnement des dents antérieures dans le maxillaire, une clé en silicone avec repères de la ligne médiane et des canines a été fabriquée dans la mandibule, afin de pouvoir contrôler à tout moment les dimensions verticale et horizontale. Comme les dents antérieures VITA PHYSIODENS Anterior sont basées sur la morphologie de dentitions naturelles saines, le montage dans le maxillaire s'est fait intuitivement. Les dents antérieures de la mandibule ont été positionnées avec leur bord incisif parallèle à celui des dents antérieures supérieures. Comme le bourrelet de cire supérieur avait déjà été aligné parallèlement au plan bipupillaire, les dents antérieures se retrouvaient automatiquement parallèles à ce plan. De légères abrasions ont été réalisées sur les bords incisifs mandibulaires à l'aide d'instruments rotatifs.








Montage dans le secteur postérieur
Lors du montage des dents postérieures mandibulaires, il a été veillé à ce que seules les dents antérieures mandibulaires et les cuspides disto-buccales des deuxièmes molaires touchent le plan occlusal. Le plan d'occlusion doit à son tour être parallèle au plan de Camper et au plan bipupillaire. Le montage final dans la mandibule a été contrôlé à l'aide du jaugeur de plan d'occlusion, puis les dents postérieures ont été montées dans le maxillaire. Les dents postérieures maxillaires ont été mises en contact avec la mandibule conformément au concept BLP, de manière à établir environ 10 points de contact par quadrant. Les contacts sur les pentes internes des cuspides de travail ont ainsi été priorisés. Typique de l'occlusion physiologique, les prémolaires présentent 1 à 2 contacts, les molaires 4 à 5 contacts et les secondes molaires 2 à 3 contacts. Seuls quelques contacts se forment sur les cuspides de cisaillement et les crêtes marginales. Les dents mandibulaires ont été inclinées en lingual, les dents maxillaires en vestibulaire. Ainsi, les précieux contacts de travail ont été rapidement établis, nécessitant seulement un léger ajustement d'optimisation par meulage. L'essayage en cire a été concluant, permettant ainsi le passage au montage en résine plastique.



Caractérisation avec des colorants
Après la polymérisation en résine plastique, la base a été soigneusement finie. À la demande de la patiente, les dents ont été caractérisées au niveau cervical, interdentaire et sur les bords incisifs du maxillaire avec les colorants composites photopolymérisables VITA AKZENT LC EFFECT STAINS cream, khaki, blue, grey-blue et purple, afin d’obtenir un rendu adapté à son âge. L'anatomie muco-gingivale a été modelée sur le bouclier labial à l'aide des produits VITA AKZENT LC EFFECT STAINS purple, pink, dark-red, orange et cream. Pour finir, les zones caractérisées ont été scellées avec le produit VITA AKZENT LC GLAZE, créant ainsi simultanément un degré de brillance uniforme.
Pose et bilan
Lors de la mise en bouche, un effet de succion prononcé s'est manifesté rapidement au niveau du maxillaire et de la mandibule, de sorte que les prothèses étaient positionnées de manière sûre sur le plan fonctionnel. Grâce aux empreintes muco-dynamiques réalisées avec des porte-empreintes fonctionnels individualisés, le traitement a pu être réduit d'une séance, sans compromettre la rétention des restaurations. Ce gain de temps a permis de mener les séances suivantes avec une communication adaptée empreinte d'empathie. La stratification manuelle et anatomique des dents VITA PHYSIODENS a permis d'obtenir l'individualité et le naturel recherchés. Les caractérisations au moyen de colorants composites ont permis non seulement de reproduire une anatomie gingivale adaptée, mais aussi de concevoir des dents adaptées à l'âge de cette patiente de 93 ans. La patiente s’est montrée ravie de son nouveau sourire et pleinement satisfaite, tant sur le plan esthétique que fonctionnel, lors des séances de suivi. Ce cas démontre qu'une réhabilitation par prothèse complète reste une solution tout à fait indiquée dans de nombreux cas gériatriques.




1 Die physiologische Okklusion des menschlichen Gebisses, Dr. Eugen End, Verlag Neuer Merkur, 2005/DVD „BIO-Logical Prosthetics“, Dr. Eugen End, VITA Zahnfabrik, 2009.
2 Test d'usure Pin-on-Block (POB) à la Polyclinique de prothèse dentaire de l'université de Ratisbonne ; Report Number: 280_2/Project Number: 280. 09/11/2015.

« La forme, la couleur et la position des dents antérieures jouent un rôle décisif pour la réussite de la restauration. Pour obtenir une réhabilitation esthétique avec un jeu de couleurs et de lumière naturel, la gamme de dents VITA PHYSIODENS a été retenue, car elle répond aux principes de la prothèse biologique. »
Viktor Fürgut, Prothésiste dentaire, Ravensburg, Allemagne
Même lorsqu'ils sont appliqués de manière cohérente, les concepts d'occlusion classiques échouent souvent en pratique. En effet, ces stratégies prothétiques reposent encore aujourd'hui en grande partie sur des paramètres purement mécaniques. Les connaissances intellectuelles et techniques des générations précédentes sont encore fréquemment utilisées comme base théorique, et les concepts apparemment fondés sur des preuves sont appliqués cliniquement. Le concept d'occlusion dans la dentition physiologique, optimisé par l'évolution au fil des millénaires, suit toutefois un tout autre plan de construction. C'est pourquoi la prothèse biologique (BLP) s'est imposée comme concept d'occlusion physiologique dans toutes les disciplines prothétiques, car elle respecte strictement les caractéristiques d'une occlusion naturelle.
Guidage neuromusculaire de la mandibule
Même le porteur d'une prothèse implanto-portée effectue les mêmes mouvements de mastication stéréotypés que toute personne entièrement dentée. Il n'a pas non plus besoin d'un équilibrage bilatéral, ni d'un équilibrage unilatéral, ni d'un guidage canin ; sa mandibule est en effet dirigée neuromusculairement par le système nerveux central, de manière consciente au niveau cortical ou inconsciente au niveau sous-cortical. Pour une intégration harmonieuse d'une prothèse implanto-portée dans le système stomatognathique, il faut donc lui fournir des dents artificielles correspondant à celles qu’il possédait autrefois dans sa dentition naturelle, tant en forme qu’en position. Et ces dents originelles ne présentaient certainement pas non plus de contacts maximaux tripodes, de contacts ABC continus, d'occlusion lingualisée ni de Long Centric.
Espace fonctionnel central
Tant que des aliments solides se trouvent entre les dents, un guidage dentaire n'est tout simplement pas possible. Ce n'est que lorsque la nourriture est réduite en bol alimentaire que le contact peut se produire. Or, ce contact n'a lieu que dans un espace fonctionnel tridimensionnel d'environ 1 mm, comme le montrent les courbes physiologiques de mastication. Les prothèses implanto-portées doivent également être équilibrées dans cet espace fonctionnel central. Cela n'est possible que si les nouvelles dents correspondent en forme, taille et position aux dents d'origine. Les courbes de Spee et de Wilson, ainsi que la courbe hélicoïdale de torsion ne sont pas des courbes de compensation pour l'équilibrage des prothèses. Ce plan de conception anatomique a été optimisé au cours de l'évolution pour fonctionner de manière rentable avec un minimum d'efforts. Les axes dentaires du maxillaire et de la mandibule s'alignent ainsi avec les vecteurs de force des muscles masticateurs lors de la fermeture. Le concept d'occlusion physiologique est logique. Il donne des informations claires sur la position de la mandibule par rapport au maxillaire en positions antéro-postérieure, latérale et verticale, ainsi que sur les schémas de mouvement. Le relief occlusal des dents postérieures et la forme anatomique des dents antérieures suivent cette fonction dans leur forme et la relation de position centrée.
Concept avec expérience à long terme
En raison de sa reproductibilité, le concept biologique, inspiré de la nature, peut être appliqué de manière universelle et dans des thérapies combinées prothétiques, conservatrices et orthodontiques. Il ne s'agit pas d'une théorie induite artificiellement, mais d'une conclusion documentée tirée de l'observation et de l'étude des conditions naturelles. En 20 ans de pratique, le concept de la nature a fait ses preuves avec un grand succès dans toutes les disciplines prothétiques. Les réactions positives des patients, tant sur le plan esthétique que du confort masticatoire, parlent d'elles-mêmes. Toutes les prothèses insérées, implanto-portées ou non, ainsi que toutes les restaurations combinées dans des versions les plus diverses, ont été réalisées par mes soins sans équilibrage, ni guidage canin, ni guidage incisif, ni guidage de groupe. Aucun patient n’a ressenti le manque de ces mouvements de guidage dentaire non physiologiques avec sa nouvelle prothèse.
Prothèse implanto-portée biologique
De plus en plus de prothèses complètes sont aujourd'hui réalisées sur implants. C'est un grand pas vers une meilleure qualité de vie pour les patients édentés. De nombreuses suprastructures sont possibles, mais la solution la plus judicieuse doit toujours être adaptée individuellement au patient. L'âge et les capacités motrices sont des critères essentiels pour permettre au patient une manipulation de sa prothèse dentaire sans problème à long terme. Toutes les variantes de restaurations implanto-portées ne doivent toutefois pas nous détourner des principes fondamentaux de la prothèse complète en occlusion physiologique. Le système neuromusculaire, avec toutes ses structures impliquées, exige une approche biologique, plutôt que que mécanique et statique. Et les patients n'ont-ils pas le droit d'être soignés selon les lois de la nature ? Les concepts mathématiques et géométriques statiques sont-ils vraiment la meilleure option ? Se pose alors la question suivante : la prothèse doit-elle être guidée par les dents antérieures ou par les dents postérieures, ou par les deux, et à quel moment ce guidage doit-il avoir lieu ? Est-il préférable de monter en équilibrage bilatéral ou en équilibrage unilatéral ? Faut-il utiliser des dents postérieures à surface occlusale réduite ? Dents plutôt grandes ou petites ? La liste des confusions pourrait continuer indéfiniment ! Tout cela n'aide pas le praticien, ni le prothésiste dentaire, et surtout pas les patients.
La procédure
Dans le cas suivant, une patiente est dotée d'une prothèse complète au maxillaire (Ill. 1) et d'une prothèse amovible implanto-portée à la mandibule, selon le principe biologique. Pour l'ancrage stable de la prothèse mandibulaire, quatre implants ont été insérés dans les régions 32, 33 ainsi que 42 et 43 (Ill. 2). L'apparence, l'esthétique et l'élocution, y compris la phonétique, constituent, en plus de la fonction masticatoire, les critères les plus importants pour la majorité des patients. Le prothésiste n'ayant généralement pas de contact direct avec le patient, il est donc très important que le praticien lui transmette des informations précises concernant la position des dents. Ces informations doivent être tridimensionnelles. La longueur incisale des dents antérieures, la position labiale/orale, ainsi que les informations sur la relation de parallélisme avec le plan bipupillaire de l'ensemble de la partie antérieure maxillaire doivent être consignées. Le milieu du visage, la ligne du sourire et la ligne des canines sont également des points de repère essentiels pour le prothésiste dentaire. Le praticien transfère ces informations tridimensionnelles par le biais du bourrelet de cire sur un gabarit d'occlusion ou, mieux encore, sur le porte-empreinte de l'empreinte fonctionnelle parfaitement ajustée. Le bourrelet de cire du maxillaire est alors ramolli dans de l'eau chaude et peut ensuite être déplacé dans le sens labial ou oral jusqu'à ce que le profil labial soit correct. À ce stade, il est déjà possible de contrôler la prononciation et la phonétique.


L'enregistrement de la relation centrée
Une prise d'empreinte parfaite et une fabrication précise du modèle des mâchoires (Ill. 3 et 4) ainsi qu'une prise d'occlusion optimale constituent les conditions de base pour une prothèse dentaire fonctionnelle. En cas de patients édentés, il est également recommandé d'effectuer un enregistrement de la relation centrée à l'aide de bourrelets de cire sur les porte-empreintes individuels. Après la prise d'empreinte fonctionnelle et la fabrication du maître-modèle, les bords étendus de l'empreinte doivent être simplement raccourcis afin d'obtenir des gabarits d'occlusion parfaitement ajustés (Ill. 5 et 6). Cette méthode garantit un transfert très précis des données de la bouche vers le maître-modèle, et inversement.




La relation centrée doit toujours être confirmée par le patient lui-même, de façon répétée, à partir de la position de repos, sans manipulation externe de la part du praticien, et ce par un contrôle neuromusculaire. L'illustration 7 présente une petite butée de cire d'aluminium dans le maxillaire et, en regard, une pointe dans la mandibule formée à partir du bourrelet de cire. Après que le patient a confirmé à plusieurs reprises la même empreinte dans la butée en cire d'aluminium (les bourrelets de cire ne doivent pas entrer en contact circulaire), les bourrelets sont verrouillés (ici avec de l'oxyde de zinc/eugénol). Le praticien contrôle le verrouillage. La pointe de cire dans la mandibule doit toujours se repositionner exactement dans l'empreinte de la butée en cire d'aluminium (Ill. 8). Ainsi verrouillés et parfaitement stables, les porte-empreintes permettent une articulation réaliste des modèles (Ill. 9 et 10).




Le montage des dents
Le montage des dents s'effectue à présent indépendamment des implants mandibulaires. La suprastructure sur implants n'est fabriquée qu'après un essayage en cire concluant à tous points de vue. Le choix des dents antérieures constitue une étape de travail très importante, dans laquelle le patient doit impérativement être impliqué. La forme, la couleur et la position des dents antérieures jouent un rôle décisif pour la réussite de la restauration. Pour obtenir une réhabilitation esthétique avec un jeu de couleurs et de lumière naturel, la gamme de dents VITA PHYSIODENS (VITA Zahnfabrik, Bad Säckingen, Allemagne) a été retenue, car elle répond aux principes de la prothèse biologique. Le tracé individualisé des bords incisifs, la morphologie naturelle des surfaces et le volume des dents antérieures VITA PHYSIODENS garantissent un maximum de naturel en association avec un modelage gingival soigné. Dans le secteur postérieur, on a utilisé en conséquence les dents VITA PHYSIODENS entièrement anatomiques. Qu'elles soient portées par les muqueuses ou par des implants, cela ne fait aucune différence. L'important est d'optimiser et de réduire les forces masticatoires. Cet objectif est atteint grâce aux dents postérieures VITA PHYSIODENS, qui peuvent être montées en relation centrée conformément aux lois de la dentition naturelle. Cette occlusion physiologique réduit les forces de mastication au strict minimum. La condition préalable est la morphologie biologique des surfaces de mastication, dont résulte une répartition optimale des points de contact analogue à celle observée dans une dentition naturelle.
Principes tirés du manuel de la nature
L'observation de dentitions permanentes naturellement saines a permis de constater une répartition récurrente des points de contact occlusaux. C'est sur cette disposition naturelle que repose la prothèse biologique avec VITA PHYSIODENS. Ces lois sont également respectées lors du montage dans le cadre de ce cas clinique. Ainsi, la patiente bénéficie d'une fonction masticatoire confortable et physiologique, guidée neuromusculairement et non par les dents :
-
Des points de contact uniformes et simultanés dans la zone des dents postérieures, suivant une répartition typique avec une marge de variation individuelle. Les prémolaires présentent 1 à 3 points de contact, la première molaire 3 à 5 points et la deuxième molaire 2 à 3 points.
-
En moyenne, on trouve 20 points de contact par mâchoire dans le secteur postérieur, soit 10 points par quadrant, avec une plage de variation de 6 à 14 points.
-
Les points de contact se situent principalement sur les pentes internes des cuspides palatines dans le maxillaire et sur les pentes internes des cuspides vestibulaires dans la mandibule, à des hauteurs différentes.
-
On trouve peu de contacts sur les crêtes marginales à la mandibule, tandis qu'au maxillaire, ils se situent principalement sur les prémolaires.
-
Sur les pentes internes des cuspides de cisaillement, les contacts sont moins nombreux.
-
Les dents antérieures peuvent toutes ou seulement partiellement être en contact, simultanément et uniformément avec les dents postérieures. Le contact antérieur est plutôt un contact de surface léger.





Les illustrations 11 à 13 montrent le montage tridimensionnel sûr des dents antérieures maxillaires grâce à une clé mandibulaire en silicone. Le bourrelet de cire formé sur le patient et le montage des dents antérieures concordent. Les dents antérieures et postérieures de la mandibule sont ensuite montées sur une base de montage en résine, avec des fixations sur au moins deux analogues de modèles (Ill. 14 et 15). Lors du montage de la partie antérieure de la mandibule, un parallélisme incisif doit être obtenu avec les bords incisifs des dents antérieures maxillaires (Ill. 16). Lorsque l'articulateur est fermé, il faut viser une surocclusion de 2 à 4 mm (Ill. 17). Il est préférable d'éviter un contact avec les dents antérieures afin de permettre au praticien d'effectuer le meulage final lors de la mise en bouche sans avoir à rectifier les dents antérieures.


Le montage des dents postérieures
Lors du montage des dents postérieures, il est important que les dents soient placées avec les axes dentaires orientés dans le sens de la musculature de fermeture (Ill. 18). Le plan d'occlusion doit être parallèle au plan de Camper. La hauteur du plan d'occlusion résulte de la position des incisives mandibulaires qui se situent, comme la cuspide disto-buccale de la deuxième molaire, au niveau du trigone rétromolaire (Ill. 19).


La position des dents postérieures n'est pas le seul facteur déterminant pour une fonction masticatoire optimale. La répartition des points de contact, telle qu’observée dans une dentition physiologique naturelle, est essentielle pour réduire les forces de mastication au minimum. Les dents postérieures VITA PHYSIODENS, spécialement conçues et modélisées par le Dr. Eugen End pour le concept de la nature, possèdent toutes les qualités pour atteindre facilement cet objectif (Ill. 20 et 21).


La mise en œuvre
La prothèse maxillaire est pressée dans la cuvette de pressage avec des plastiques de différentes teintes afin de reproduire l'apparence naturelle de la gencive le plus fidèlement possible (Ill. 22 à 24).



La prothèse mandibulaire est terminée après la fabrication de la barre individuelle (Ill. 25 à 27) et du châssis métallique de base (Ill. 28 à 30) selon la technique de préformage. Pour rendre la prothèse la plus « invisible » possible, on travaille avec des plastiques colorés. Les illustrations 31 et 32 montrent la prothèse mandibulaire terminée avec le châssis métallique incorporé, vu depuis la base, avec des éléments de fixation interchangeables.








Le choix de la suprastructure doit être décidé individuellement par le praticien avec le patient. Des facteurs tels que l'âge du patient, la facilité de nettoyage des piliers implantaires et des prothèses dentaires, les capacités motrices et les possibilités financières du patient doivent être pris en compte. Le prothésiste dentaire est appelé à mettre en œuvre les matériaux disponibles aujourd'hui avec la plus haute qualité pour la pratique. Les illustrations 33 et 34 montrent la réussite de la prothèse sur implants.


Les prothèses dentaires implanto-portées sont à la fois innovantes et confortables, qu'elles soient fixes ou amovibles. La technique dentaire doit s'y adapter. Un beau défi.

« Avec leur forme pleine, les dents VITA PHYSIODENS sont puissantes et expressives (Ill. 11). Des crêtes interdentaires marquées, des surfaces labiales convexes, des caractéristiques de courbure naturelles et une morphologie de surface caractéristique rappellent les dents modelées de main de maître. »
Björn Czappa, Maître prothésiste dentaire, Oldenbourg, Allemagne
Dans l'étude de cas suivante, l'accent a été mis sur la satisfaction des exigences élevées de la patiente en termes de fonctionnalité et d'esthétique. Le maxillaire édenté a été traité avec une restauration amovible. Dans la mandibule faiblement édentée, des bridges fixes ont permis d'atteindre l'objectif. Grâce à des dents artificielles au rendu naturel, il a été possible de créer un pendant adapté en termes de forme et de couleur aux stratifications céramiques de la mandibule (VITA VM 13). Au final, aucune différence esthétique n'est perceptible entre les différents matériaux.
Dans le domaine des prothèses dentaires contemporaines, l'artisanat et le savoir-faire individuel interagissent avec les composants de fabrication standardisée. En particulier face à des patients exigeants, les solutions standard donnent rarement les résultats escomptés. La personnalisation est décisive ! L'association d'éléments de restauration préfabriqués et d'une finition personnalisée permet de travailler de manière efficace, pratiquement sans compromis.
Uniques en leur genre
Depuis toujours, nous, les prothésistes dentaires, consacrons beaucoup de temps, d'efforts et de patience à la stratification céramique. En revanche, les dents artificielles ont souvent été traitées avec négligence par le passé. Cela va à l'encontre des concepts prothétiques modernes, qui accordent une grande importance à l'esthétique des restaurations amovibles. Les dents haut de gamme VITA PHYSIODENS sont l'élément essentiel de la restauration complexe dans le cas d'étude présenté. Le concept unique de forme, de couleur et de matériau des dents polychromatiques permet, malgré la « fabrication standardisée », de réaliser des restaurations personnalisées avec des particularités caractéristiques. En raison de leur forme pleine et de leurs caractéristiques dentaires conformes à la nature, ces dents sont devenues un complément parfait au sein de notre concept de travail.
Analyse du cas de la prothèse dentaire et planification
Âgée de 61 ans, la patiente a consulté le cabinet dentaire en souhaitant une nouvelle restauration prothétique. Cette femme d'affaires exerce ses activités en public et a des exigences élevées quant à son apparence. Les prothèses dentaires qu'elle portait jusqu'alors ne correspondaient pas à ses attentes du point de vue esthétique et étaient en dysharmonie avec son apparence extrêmement soignée. Pour un meilleur confort et une plus grande sécurité, la patiente a opté pour une réhabilitation implanto-portée sans palais du maxillaire supérieur édenté. La mandibule doit être complètement fixe afin d'assurer là aussi une stabilité prothétique optimale.
Maxillaire : concept de double couronne
Six implants ont été insérés dans le maxillaire édenté pour le restaurer avec une prothèse amovible double couronne (protocole Weigl). Les piliers personnalisés en titane doivent faire office de parties primaires et assurer un maintien solide avec des parties secondaires galvaniques. Les avantages de ce type de prothèse sont la possibilité de retrait, une bonne hygiène et un ajustement sans tension. Dans le cas présenté, les implants étaient idéalement répartis dans la mâchoire d'un point de vue statique. Le soutien quadrangulaire via six implants offrait un polygone de soutien suffisamment grand.
Mandibule : bridge par assemblage
Dans la mandibule, seules les dents 33 et 34, ainsi que les dents 43 et 44 étaient encore disponibles comme dents piliers. Les incisives étaient manquantes, et derrière les dents 34 et 44 se présentaient des édentements postérieurs des deux côtés. Pour le traitement prothétique, un bridge dento-porté a été planifié ici dans la zone des dents antérieures (43 sur 33) et deux bridges par assemblage (concept de Greifswald) dans la zone des dents postérieures. Les bridges par assemblage sont des restaurations amovibles conditionnelles, qui relient au moins une dent (34 ou 44) et un implant. Les couronnes unitaires implanto-portées constituent une alternative au bridge par assemblage. Nous considérons que les avantages du bridge par assemblage sont la réduction du nombre d'implants et le grand confort de port. Dans le cas d'une restauration entièrement implanto-portée, la sensibilité tactile est extrêmement faible. Les récepteurs parodontaux et pulpaires sont absents. L'inclusion de dents parodontologiquement saines et vitales permet de préserver la sensibilité tactile physiologique. Les dents 33, 34 et 43, 44 ont été préparées pour recevoir les trois restaurations par bridge. Afin de renforcer stratégiquement les piliers au niveau des édentements postérieurs, le dentiste a inséré un implant dans les régions 47 et 37.
Fabrication de l'armature
Un set-up a été créé comme base pour les restaurations et fixé à l'aide d'une clé en silicone. Il a servi de modèle pour toutes les autres étapes de travail.
Piliers personnalisés, couronnes doubles et coiffes galvaniques
Nous avons numérisé les modèles et les configurations à l'aide du scanner de laboratoire, puis nous avons construit les piliers dans le logiciel de CAO. Dans le concept présenté, les piliers implantaires dans la mâchoire supérieure font également office de parties primaires. Ils ont été conçus selon une conicité de deux degrés et transformés en titane dans la fraiseuse à 5 axes (Datron D5). Afin de garantir une fonction adéquate et pérenne des couronnes doubles, il faut viser un excellent ajustement de la partie secondaire sur la partie primaire. La fraiseuse de table nous a permis de conférer une surface très lisse aux couronnes primaires fraisées. Remarque : même de petites irrégularités compromettent le succès à long terme de la restauration ! L'or fin galvanique pouvait alors être déposé directement sur la surface lisse des parties primaires (Ill. 1). La fonction d'une double couronne galvanique est assurée par l'adhésion. Nous considérons que le comportement tribologique des parties primaires en titane et des coiffes galvaniques est exemplaire (Ill. 2).
Pour les implants de la zone mandibulaire, nous avons fabriqué deux piliers coniques et réalisé des coiffes galvaniques pour les dents 44 et 34. Le concept du bridge par assemblage de Greifswald stipule que la dent pilier naturelle doit être protégée du risque de carie secondaire par la coiffe galvanique solidement scellée. Nous avons délicatement gommé les coiffes galvaniques de 0,2 mm d'épaisseur et créé une base pour le scellement semi-permanent du bridge (Ill. 3).



Structure tertiaire et armature du bridge
Sur la base du set-up numérisé, les trois armatures de bridge pour la mandibule ont été fabriquées par CFAO dans une forme de couronne réduite, à partir d'un alliage sans métaux précieux (Ill. 4 à 6).
1er bridge par assemblage : Implant région 47 (pilier) sur dent 44 (coiffe galvanique)
2ème bridge par assemblage : Implant région 37 (pilier) sur dent 34 (coiffe galvanique) (Ill. 7)
3ème bridge dento-porté : de la dent 33 à la dent 43
Pour le maxillaire, nous avons fabriqué une structure tertiaire coulée en alliage sans métaux précieux (Quattro Steel Soft, Goldquadrat). Afin de conférer à l'armature un ajustement lâche et sans tension, les coiffes galvaniques ont été préalablement enrobées d'un vernis espaceur (100 à 150 μm). Pour le collage intra-oral, les composants suivants ont été remis au cabinet (Ill. 8) :
Parties primaires : piliers en titane personnalisés
Coiffes secondaires : coiffes galvaniques déposées directement
Structure tertiaire : armature coulée en alliage sans métaux précieux
Porte-empreinte : porte-empreinte individuel
Après la mise en place des piliers en bouche, le dentiste a collé les coiffes galvaniques à l'armature tertiaire selon le protocole de Weigl (assemblage intra-oral). L'armature a ensuite été retirée de la bouche et les excédents de colle ont été éliminés. Cette adaptation intra-orale nous a été transmise via une empreinte de fixation avec une armature en place. Avec la certitude d'un ajustement précis de l'armature sur le patient, nous pouvions maintenant nous concentrer pleinement sur le travail esthétique de précision.





Réalisation esthétique sur mesure
Stratification céramique
Les armatures de bridge dans la mandibule ont été recouvertes de céramique. Nous favorisons pour cela la céramique feldspathique à structure fine VITA VM 13 (VITA Zahnfabrik). De manière relativement rapide, nous avons réalisé avec ce matériau une stratification régulière et d'aspect naturel (Ill. 9). Pour la zone de la gencive prothétique, nous avons utilisé des masses gingivales de différentes couleurs (Gingiva Kit, VITA Zahnfabrik). Les bridges revêtus présentaient un superbe jeu de couleurs vibrant, qui rayonnait de naturel de l’intérieur (Ill. 10). La texture filigrane et l'homogénéité de la céramique permettent à la lumière de se réfracter et de se refléter sur la surface, de manière adéquate par rapport à l'émail naturel des dents.


Dents artificielles et stratification des parties gingivales
Pour obtenir un aspect uniforme, l'aspect naturel des stratifications céramiques de la mandibule devait être transféré sur la prothèse du maxillaire. Les dents artificielles VITA PHYSIODENS ont été dans ce cas un élément déterminant pour un résultat final harmonieux. Grâce à la structure du matériau (MRP, microfiller reinforced polyacrylic), ces dents offrent non seulement un grand confort de mastication, mais également une résistance exceptionnelle à l'abrasion. Les garnitures dentaires pour le maxillaire comprennent 21 formes de dents antérieures différentes. Les dents appropriées ont été choisies et placées à l'aide de la carte des formes. Après avoir conditionné l'armature, nous avons terminé la prothèse amovible en résine.
Avec leur forme pleine, les dents VITA PHYSIODENS sont puissantes et expressives (Ill. 11). Des crêtes interdentaires marquées, des surfaces labiales convexes, des caractéristiques de courbure naturelles et une morphologie de surface caractéristique rappellent les dents modelées de main de maître. Même en ce qui concerne leurs propriétés photo-optiques, les dents en résine VITA PHYSIODENS n'ont rien à envier aux incrustations en céramique de la mandibule. Elles présentent un dégradé de couleur fluide de la zone cervicale à la zone incisale. Dans ce cas également, les dents VITA PHYSIODENS s'harmonisent parfaitement avec le jeu de couleurs riche en nuances des stratifications en céramique.




Nous avons accordé une grande attention à la gencive prothétique. En effet, une prothèse dentaire amovible ne doit pas nécessairement ressembler à une « prothèse en plastique ». Les matériaux de stratification modernes en résine permettent d'obtenir un aspect personnalisé au rendu naturel. Nous avons créé une alternance de surfaces concaves et convexes et imité les processus alvéolaires, ainsi que les structures papillaires. Une structure gingivale polychrome complétait le résultat esthétique. Lors du polissage, le profil naturel des dents PHYSIODENS, ainsi que leur micro et macrotexture ont été entièrement préservés ; c'est une prémisse que nous imposons aux dents artificielles. La prothèse amovible double couronne pour le maxillaire et les bridges à stratification céramique pour la mandibule ont été remis au cabinet dentaire après un contrôle final (Ill. 12 à 14).
Dans la bouche de la patiente, la prothèse amovible du maxillaire a montré des propriétés de glissement parfaites, un montage et un démontage faciles et un maintien solide. Le bridge dento-porté dans le secteur antérieur de la mandibule a été scellé de manière permanente, tandis que les bridges par assemblage ont été montés de manière semi-permanente. Un résultat merveilleusement naturel ! C'est ainsi que les restaurations prothétiques se présentaient dans la bouche de la patiente (Ill. 15 - 17).



Bilan
La combinaison de deux concepts prothétiques différents (prothèse amovible à double couronne et bridges par assemblage) a permis d'obtenir une harmonie fonctionnelle et esthétique. Cette patiente exigeante a reçu des restaurations particulièrement esthétiques au maxillaire et à la mandibule. Les dents haut de gamme VITA PHYSIODENS sont le pendant parfait des stratifications en céramique dans la mandibule ou des dents naturellement belles. Nous avons ainsi pu maîtriser en toute sécurité l'exercice consistant à équilibrer « fabrication standardisée et sur-mesure ».

Thomas Weiler, Maître prothésiste dentaire, Bocholt, Allemagne

Dr Babak Varzideh, Bocholt, Allemagne
Selon le célèbre philosophe et penseur Arthur Schopenhauer « L’individualité de l'être humain prédéfinit son aptitude au bonheur ». Bien qu’aujourd’hui on trouve de plus en plus de produits standardisés, d’un autre côté de plus en plus de patients ont fait leur cette thèse de Schopenhauer et posent l’exigence de l’individualité absolue même pour leurs prothèses dentaires. Ce souhait ne s’arrête devant aucune forme de reconstitution et ne concerne pas seulement celles cosmétiques à facettes, ce qui sera illustré ci-après avec le cas d'une prothèse amovible complète neuve. En étroite discussion avec un patient exigeant, toutes les possibilités en termes de matériaux et d’esthétique ont été épuisées, pour obtenir un résultat le plus personnalisé et le plus adapté à l’âge qui soit.
Cas clinique
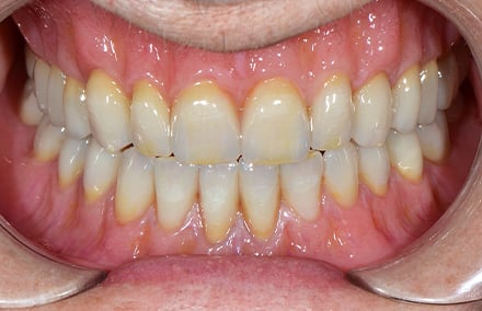
Environ trois mois après l’extraction de ses dents piliers télescopiques restantes mandibulaires, un patient de 61 ans s’est présenté au cabinet pour se faire conseiller. La tenue de la prothèse n’était plus possible sans l’ancrage dans la mandibule. En raison de la résorption osseuse, on a proposé au patient un rebasage comme solution thérapeutique. Toutefois, celui-ci était insatisfait du résultat esthétique des deux prothèses. Il trouvait les dents artificielles trop sombres. Il se plaignait d’une tenue insuffisante et d’une phonétique perturbée (ill. 1). Lors de l’examen clinique, il s’est avéré que la prothèse actuelle n’était pas alignée au milieu du visage. Dans le premier quadrant, les dents étaient trop exposées en direction apicale, de sorte que la ligne du sourire paraissait inclinée (ill. 2). Les axes des incisives maxillaire n’étaient pas en harmonie avec la ligne médiane réelle. Le tracé du bord libre entre les incisives centrales et latérales était, en outre, trop régulier, il manquait donc le jeu naturel du dimensionnellement différent. Les bords incisifs mandibulaires étaient très arrondis et ne correspondaient pas à l’anatomie de dents fonctionnelles (ill. 3). Les papilles étaient trop longues et trop pointues, de manière générale, l’anatomie gingivale vestibulaire n’était pas simulée. Le patient était donc gêné pour sourire.
La décision du patient grâce au conseil visuel
Sur la base de la documentation disponible sur des cas cliniques, lors de l’entretien de conseil, on a montré au patient les possibilités de personnalisation des prothèses totales. Ce faisant, on a pu lui en expliquer clairement les détails. Cela a permis de montrer clairement la différence entre une reconstitution standard et une réhabilitation sur mesure avec un volet labial personnalisé, une morphologie dentaire conforme à l’âge et des couleurs caractéristiques. Informé et inspiré par les cas présentés, il a choisi une nouvelle prothèse totale maxillaire et mandibulaire qui permettraient la personnalisation intégrale d’une reconstitution conforme à l’âge. Le patient tenait beaucoup à une reproduction naturelle de la fausse gencive vestibulaire et à l’individualisation des dents. La prothèse amovible ne devait en aucun cas pouvoir être identifiée comme telle. Le patient refusait une reconstitution fixée au moyen d’implants. Sur la base du conseil et des impressions visuelles, le patient a pu prendre sa décision sur l’idée qu'il se faisait de sa nouvelle reconstruction. Plus la prothèse dentaire doit être individualisée, plus il importe de respecter dans le détail les souhaits du patient.

1. Le patient était mécontent de sa reconstitution.

2. Dans le premier quadrant, les dents étaient trop exposées en direction apicale.

3. Les bords incisifs mandibulaires étaient très arrondis et présentaient un aspect artificiel.
La base de travail
Sur la base d’empreintes à l’alginate, des modèles anatomiques ont été confectionnés pour servir à la fabrication de porte-empreintes individuels. Ces derniers ont permis de réaliser les empreintes mucodynamiques, sur la base desquelles on a fabriqué les maître modèles. Des bases photopolymérisables ont été fabriquées sur les maître modèles. Les bourrelets de cire ont pu ensuite être positionnés à l’aide des analyses de modèles. Dans le cadre de l’enregistrement des rapports intermaxillaires, les bourrelets de cire ont été optimisés en bouche afin d’offrir une orientation précise sur le modèle d’essayage en cire. Le Plan de Camper a ensuite été enregistré avec un arc facial. Enfin, on a procédé à la codification des deux gabarits d’enregistrement. Après la mise en articulateur des maître modèles, le montage en cire a pu débuter (ill. 4).

4. Après la mise en articulateur adaptée au patient des maître modèles, le montage a pu être amorcé.
Un travail manuel personnalisé
Pour la réalisation conforme à la BLP (prothèse Bio-Logique du Dr End), on a utilisé les dents artificielles premium VITA PHYSIODENS (VITA Zahnfabrik, Bad Säckingen, Allemagne). Quand il s’agit d’obtenir une esthétique individuelle, les dents VITA PHYSIODENS Anteriores présentent justement l’avantage que la plaquette elle-même est fabriquée à la main. La stratification tridimensionnelle anatomique avec les masses collet, dentine et émail présente ainsi toujours un caractère individuel et un jeu plein de nuances avec les couleurs et les lumières. Chaque dent est unique. Les dents antérieures offraient ainsi une base adéquate pour répondre au besoin de personnalisation du patient. Pour la texture et la morphologie, les développeurs de la plaquette se sont basés sur de vraies dents, ce qui explique pourquoi les axes des dents, les caractéristiques des angles et le rapport longueur/largeur donnent automatiquement un résultat naturel. Les surfaces d’abrasion ont été retravaillées au montage afin de créer un aspect conforme à l’âge. Grâce à cette modification, plus ou moins marquée, la plaquette des dents antérieures peut refléter au besoin tout l’éventail des âges. De plus, un montage légèrement animé contribue à l’authenticité. La morphologie naturelle des dents VITA PHYSIODENS Posteriores a rendu possible un montage efficace des dents postérieures car les surfaces proximales qui s’emboîtent ont permis un positionnement facile et rapide. Les surfaces occlusales anatomiques – conformes à l’occlusion physiologique – ont entraîné automatiquement des contacts occlusaux simultanés et réguliers punctiformes. Dans ce cas, pour des raisons de place, on a renoncé à la mise en place de la deuxième molaire qui fait normalement partie intégrante de la prothèse Bio-Logique.
Anatomie en cire
Sur le modèle en cire, on a déjà pris la peine de simuler très exactement l’anatomie mucogingivale. Le patient devrait savoir précisément ce à quoi s’attendre. Les papilles palatines du patient aussi ont été reproduites pour obtenir une phonétique optimale et contribuer à la fragmentation des aliments. Dans cet objectif, les pailles palatines sur le maître modèle ont été moulées avec du silicone malléable et une clé a été fabriquée. Cette empreinte en silicone a permis de transférer les papilles palatines dans la cire chauffée, puis de les affiner et de les lisser. Lors de l'essayage du montage en cire, le patient s’est dit satisfait du résultat provisoire. Sur la base du montage, les individualisations et caractérisations possibles des dents artificielles ont été à nouveau discutées avec le patient, et ses souhaits ont été consignés. Enfin, des clichés ont été pris avec le Wax-up, pour que le patient et ses proches puissent comparer tranquillement la reconstitution actuelle avec la nouvelle configuration dans la cire. Après une courte période de réflexion, il a finalement donné son accord pour la mise en œuvre en résine. Les deux montages en cire ont été repositionnée sur les maître modèles et la configuration a été fixée à l’aide d’une clé en silicone stable. Les dents ont ensuite été retirées, ébouillantées et les surfaces de liaison sablées pour générer une surface microrétentive. Le repositionnement des dents dans la clé en silicone et le conditionnement chimique des surfaces de liaison avec l’adhésif VITACOLL (VITA Zahnfabrik, Bad Säckingen, Allemagne) ont suivi. Avec une résine polymérisable à froid, les bases ont été transformées en polymère puis usinées avec une fraise pour les résines. Les faces vestibulaires des bases prothétiques et les dents artificielles ont ensuite été sablées à l’oxyde d’aluminium (ill. 5). Au maxillaire, les faces mésiales et distales des incisives centrales et les faces mésiales des deux incisives latérales ont été réduites au moyen d’une fraise en carbure de tungstène (ill. 6, 7).



Jeu de lumière personnalisé
Les surfaces vestibulaires des dents et du volet labial ont été conditionnées avec VITA VM LC MODELLING LIQUID. La personnalisation a été effectuée avec le système de composite cosmétique photopolymérisable et thixotropique VITA VM LC flow et les colorants afférents PAINT (tous deux VITA Zahnfabrik, Bad Säckingen, Allemagne). On a d’abord généré des effets de lumière additionnels sur les flancs réduits des incisives maxialaires à l’aide d’une alternance équilibrée d’EFFECT ENAMEL 9 (bleu-translucide), de WINDOW (WIN) transparent et d’ENAMEL (END) (ill. 8, 9). Après la photopolymérisation de ces éléments personnalisés, une teinte brunâtre a été appliquée en proximal et cervical, ainsi que sur les bords incisaux abrasés et dans les fosses palatines, au moyen de VITA VM LC PAINT 15 (marron) (ill. 10, 11). Avec le même colorant, de légères fissures ont été suggérées sur les passages entre la dent et le VITA VM LC flow. Tout s’est passé comme discuté au préalable dans le détail avec le patient sur la base des clichés. Après fixation des éléments de caractérisation par polymérisation, les dents et les passages sulculaires ont été scellés avec OPTIGLAZE GC (GC, Tokyo, Japon) photopolymérisable (ill. 12, 13).






Anatomie mucogingivale individuelle
Lors de la réalisation de l’anatomie mucogingivale, on a veillé à une application irrégulière de VITA VM LC flow GINGIVA, afin d’obtenir un effet naturel. La muqueuse alvéolaire a été dessinée jusqu’à la limite mucogingivale avec du GINGIVA 4 rouge-brun. Dans la zone de la gencive fixée, GINGIVA 1 (vieux rose), plus clair, a été appliqué sur les crêtes alvéolaires pour obtenir un effet de profondeur tridimensionnel. Les freins linguaux ont aussi été simulés avec GINGIVA 1. Après la polymérisation finale, le volet labial vestibulaire a été retravaillé, conformément à l’exemple anatomique, par des pointillés irréguliers. Ce faisant, on a veillé à ne pas générer de pointillés trop profonds, afin de garantir un nettoyage facile à la brosse à dents et d’éviter les niches de saletés. Pour ne pas éliminer les éléments de caractérisation avec le polissage, les réhabilitations ont été finies de manière très douce avec des brosses à poils de chèvre, une polisseuse et de la pâte à polir (ill. 14 - 17).




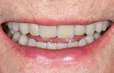
Résultat clinique et bilan
Plus la prothèse totale doit être personnalisée, plus il importe de faire participer activement le patient à la planification de la réhabilitation finale. Dans le cas présent, les documentations photographiques d’autres travaux de prothèses totales ont constitué un outil probant pour communiquer clairement au patient les possibilités actuelles de personnalisation des prothèses totales. VITA PHYSIODENS, en tant que pièce individuelle unique sortie de la manufacture de VITA Zahnfabrik, en combinaison avec le système de composite cosmétique riche en facettes VITA VM LC flow, a permis de répondre aux souhaits du patient en termes de matériau. Pour finir, l’imagination et l’adresse technique et artistique ont eu un impact décisif pour réaliser deux réhabilitations impossibles à distinguer d’une denture naturelle. La réalisation s’accordait avec l’âge, le caractère et le style de vie du patient pour une impression d’ensemble harmonieuse. La personnalisation absolue a dans ce cas permis au patient d’être satisfait et heureux.



















Assurer une longueur d’avance en matière de connaissances avec la VITA ACADEMY.
Commencez dès maintenant : découvrez notre large gamme de cours et de webinaires. Inscrivez-vous dès aujourd’hui et réservez votre place exclusive !
VITA Zahnfabrik H. Rauter GmbH & Co. KG
Spitalgasse 3
79713 Bad Säckingen
Germany
Phone: +49 7761 562 0
Hotline: +49 7761 562-222
E-Mail: info@vita-zahnfabrik.com
© 2025 VITA Zahnfabrik. All rights reserved.